Skip to content
  • Call / Text (310) 785-0770
  • Payment Calculator
  • Blog
  • Shop
  • In The Press
Before & After
free consult
  • Call / Text (310) 785-0770
  • Payment Calculator
  • Locations
  • Blog
  • Shop
  • In The Press
Before & After
free consult
BHO White Logo
  • Our Practice
    • Who We Are
    • What Sets Us Apart
    • Meet Our Team
    • Meet The Doctors
    • Advanced Technology
    • In The Press
    • Patient Reviews
    • Community Events
  • What We Do
        • Invisalign®
          • About Invisalign
          • Invisalign For Kids
          • Invisalign for Teens
          • Invisalign For Adults
          • Invisalign FAQ
        • Braces
          • Types Of Braces
          • Braces For Kids
          • Braces For Teens
          • Braces For Adults
          • Braces for Seniors
          • Braces FAQ
        • Other Treatments
          • Accelerated Orthodontics
          • Zoom Teeth Whitening
          • Retainers
          • Phase One Orthodontics
          • Family Orthodontics
  • Resources
    • Your First Visit
    • Virtual Consult
    • Refer a Patient
    • Overseas Patients
    • Financial Information
    • Orthodontic FAQ
    • Before & After
    • The BHO Edit - Explore Our Blog
    • Emergency Orthodontics
    • Shop
  • Contact
    • Contact Info
    • Careers
    • Beverly Hills
    • Downtown Los Angeles
    • Studio City
    • South Pasadena/Alhambra
  • Before & After
  • Free Consult
BHO White Logo
  • Our Practice
    • Who We Are
    • What Sets Us Apart
    • Meet Our Team
    • Meet The Doctors
    • Advanced Technology
    • In The Press
    • Patient Reviews
    • Community Events
  • What We Do
    • Invisalign®
      • About Invisalign
      • Invisalign For Kids
      • Invisalign for Teens
      • Invisalign For Adults
      • Invisalign FAQ
    • Braces
      • Types Of Braces
      • Braces For Kids
      • Braces For Teens
      • Braces For Adults
      • Braces for Seniors
      • Braces FAQ
    • Other Treatments
      • Accelerated Orthodontics
      • Zoom Teeth Whitening
      • Retainers
      • Phase One Orthodontics
      • Family Orthodontics
  • Resources
    • Your First Visit
    • Virtual Consult
    • Refer a Patient
    • Overseas Patients
    • Financial Information
    • Orthodontic FAQ
    • Before & After
    • The BHO Edit – Explore Our Blog
    • Emergency Orthodontics
    • Shop
  • Contact us
    • Contact Info
    • Careers
    • Beverly Hills
    • Downtown Los Angeles
    • Studio City
    • South Pasadena/Alhambra
  • Call / Text (310) 785-0770
  • Locations
  • Payment Calculator
  • Blog
  • Get $1,000 Off
GET $1,000 OFF
  • Facebook
  • Instagram
  • List Item
  • YouTube
  • List Item

Overbite: Before and After Treatment at BHO

A great smile can be a beacon that uplifts spirits, eases tensions, and creates a welcoming atmosphere, regardless of the setting. Tooth and bite misalignments, also known as malocclusions, can interfere with a smile's functional aspects and cause aesthetic concerns that can impact self-esteem.


This “Overbite” Before and After Gallery showcases some of BHO’s most recent patient successes. Explore how BHO corrects “overbite” issues with different treatment approaches.

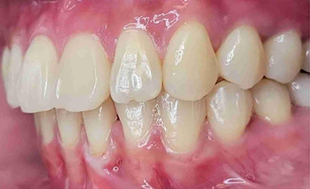
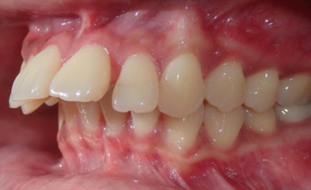
Patient 1

This patient was very concerned with a prominent dental “overbite”, wherein her front teeth not only excessively protruded beyond the lower row of teeth but also noticeably flared outwards in front of the lower teeth, noticeably sticking out. She wanted to bring her upper front teeth back and was told she would need surgery.

The patient began an Invisalign treatment. The patient’s “overbite” was resolved, and they were thrilled with the results and the lack of surgery needed to achieve them.

Before

overbite-patient-1-before

After

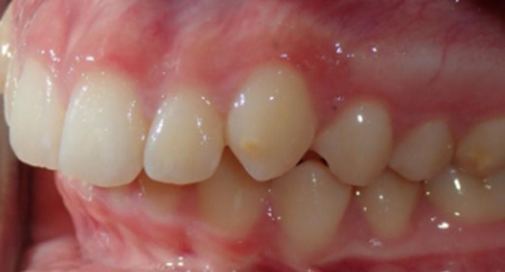
Patient 2

Patient 2 is a youth case that was dealing with an “overbite,” and it was decided to develop a treatment plan to correct his “overbite” as he grew up.

He began using a combination of braces with headgear designed to correct his jaw position as it developed to reduce the malocclusion. This brought his lower jaw forward, reduced his excessive overjet, and improved his facial appearance, giving him a stronger jawline and a more balanced facial profile. Now the patient has a smile he’s proud to show off.

Before

overbite-Patient-2-before2

After

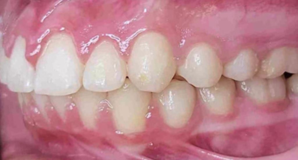
Patient 3

Initially, the patient was referred to an oral surgeon for the surgical correction of a conventional “overbite”. Unfortunately, this approach was not viable due to the proximity of the roots to the nerves.

She opted for an alternative path, commencing treatment with conventional braces and rubber bands. This orthodontic journey carried on with the patient’s diligence, and her “overbite” was significantly reduced upon its completion.

Before

overbite-Patient-3-Before1
overbite-Patient-3-Before2

After

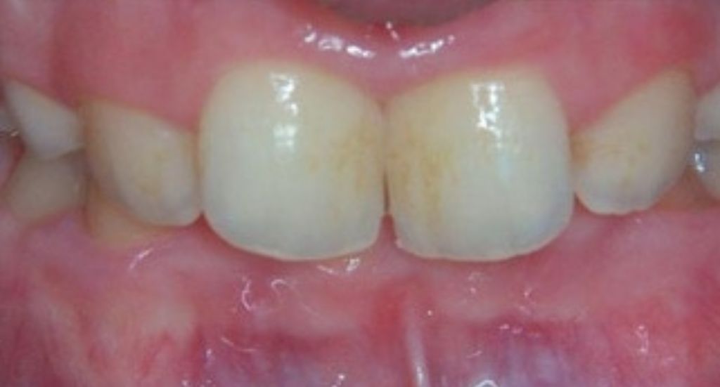
What is an “Overbite”

Woman with overbite

A common form of malocclusion,—often colloquially called an “overbite” but clinically known as an excessive overjet—causes the upper row of teeth to overlap the lower row when the jaws are closed significantly. While there is a level of slight overlapping with normal bites, in “overbites”, the overlap is excessive and noticeable.

“Overbites” can manifest in two main ways:

  • Buck Teeth: The most noticeable type of “overbite”, also called “buck teeth,” involves the upper front teeth protruding horizontally beyond the lower front teeth.
  • Unbalanced Facial Profile: “Overbites” from jaw development rather than tooth positioning irregularities. It typically manifests when the lower jaw is recessed, causing an “overbite” and making the face appear more convex. For example, ideally, the tip of the ear should be parallel to the lower jaw. However, and “overbite” interrupts this balance.

“Overbites” can cause issues beyond aesthetics, including communication difficulties, chewing and speech challenges, accelerated tooth wear and damage, and jaw pain from strained jaw muscles and joints. Treatment by an orthodontist may be worth considering to address these issues.

Beverly Hills Orthodontics (BHO) has corrected countless mild-to-severe “overbite” cases across Los Angeles since we began operations in 2008. With locations in Beverly Hills, Downtown LA, Studio City, and Alhambra, Dr. Monica Madan and the BHO team use Invisalign, braces, and other measures to eliminate “overbites” and provide patients with flawless smiles.

How Are Overbites Treated?

Elastics: Elastics use rubber bands in tandem with traditional braces to pull the lower jaw forward, bringing it to proper alignment with the upper jaw over time. Typically, elastics are used to treat mild-to-severe “overbites” and can also be used in tandem with headgear, surgery, or tooth extraction where needed.
Headgear: Designed to treat more severe “overbites” in younger children, headgear stabilizes the jaw and teeth to correct misalignment while the jaw is still developing. It is typically worn for 12-14 hours per day for 12-18 months, eliminating “overbite” issues without needing major surgery.
Jaw Surgery: For older patients with fully formed jaws that cannot benefit from headgear, jaw surgery provides an especially effective option for curing skeletal “overbites”. This involves surgically separating the jawbone and pulling the chin forward, aligning the lower and upper teeth.
Tooth extraction: Tooth extraction is a viable solution for patients with dental “overbites” caused by tooth crowding. By removing the teeth that are pushing the teeth out of alignment, orthodontists can create the space necessary to eliminate the “overbite”.
Invisalign: With Invisalign, patients with dental “overbites” caused by misalignments can get the same benefits from braces without many downsides. Invisalign aligners are effective at gradually moving teeth into the desired positions, which can help correct the “overbite”, all in a conspicuous, convenient package.

Why Should You Consider Orthodontic Treatment for Your Overbite?

  • Improved Aesthetics: Orthodontics corrects the alignment of your teeth and jaws, which can significantly reduce the prominence of your “overbite”. This leads to a more aesthetically pleasing smile that boosts self-confidence.

  • Enhanced Functionality: “Overbites” can interfere with the mechanics of chewing, speech, and overall oral function.

  • Comfort and Pain Reduction: Moderate to severe “overbites” can cause discomfort, jaw pain, and even headaches due to their strain on the jaw muscles and joints. Moreover, “overbites” increase the risk of developing temporomandibular joint (TMJ) issues. Orthodontic care can alleviate the discomfort associated with “overbites”, improving your quality of life.

  • Prevention of Dental Issues: “Overbites” can increase the risk of dental problems such as accelerated and uneven tooth wear, chipping, and increased susceptibility to cavities. Having your “overbite” treated by an orthodontist can go a long way toward improving your long-term oral health. 
Happy female with a beautiful smile

Beverly Hills Provides the Best Overbite Treatment in Los Angeles

Not only can “overbites” impact your self-esteem and prevent you from proudly displaying your smile, but they can also cause oral health issues. Hopefully, after seeing “overbite” before and after examples from real patients at Beverly Hills Orthodontics, you can see the benefit of our care. For “overbites”, we offer treatments such as:
  • Braces
  • Elastics
  • Headgear
  • Jaw surgery
  • Tooth extraction
  • Invisalign
By assessing your needs, we can create a customized orthodontic treatment plan to give you the beautiful smile you deserve within 12-24+ months. Our founder and lead orthodontist, Dr. Monica Madan, is an Ivy League graduate who ensures we are at the forefront of orthodontic treatments and use the latest tools and techniques. As a Blue Diamond Top 1% Provider Invisalign provider and one of only four in California, you can be sure that you’ll receive the best treatment for your “overbite”. With offices in Beverly Hills, Studio City, Alhambra, and Downtown LA, Beverly Hills Orthodontics is accessible to nearly all residents of Los Angeles County.

Want to get more “overbite” before and after information? Call or text BHO at 310-785-0770 or visit our contact page to book a whitening appointment and set yourself on the path toward a brighter smile.

NOTE: All blog content is intended to supplement—NOT REPLACE—the expertise of a healthcare professional and should not be construed in any way as medical advice. Consult a professional orthodontist directly, like the ones at BHO, to assess your individual needs and advise the best course of treatment.
Happy Girl

Get Started Today

Ready to transform your smile?

Request Free Consult
Special Offer

$1,000 Off Invisalign or Braces

Get Started

patient reviews

Enjoy our 5-star experience.

We are thankful for the opportunity to serve our communities with the highest quality care. Check out what our patients are saying about their 5-star experience with us!

smiling-beautiful-girl-her-handsome-boyfriend-casual-summer-clothes-web
Paloma G.
I cannot say enough wonderful things about Dr. Monica and the team at Beverly Hills Orthodontics. After an accident, smiling confidently again felt so far away, and I am beyond grateful to have found her. Dr. Monica is not only incredibly talented and detail oriented, but also one of the kindest and most caring doctors I have ever met. She took the time to understand my situation, made me feel comfortable every step of the way, and truly treated me with so much compassion. She has helped me feel excited and happy to smile again, which is something I do not take for granted. Her work has made such a meaningful difference in my confidence and daily life. Thank you, Dr. Monica, for everything you have done for me. Five stars truly do not feel like enough ⭐⭐⭐⭐⭐
Response from the owner:Thank you for your positive feedback! We are thrilled to hear that you had a great experience with us. Your satisfaction is our priority, and we look forward to serving you again in the future.
Michael F.
Lovely people. Totally professional and top-notch facilities. Even though my particular issue would require a different specialist, they referred me to a great one, and Dr Madden was every bit as fantastic as I’d heard she was. Empathetic and insightful. I will come back here when my kids need braces for sure.
Response from the owner:Thank you for your thoughtful review, Michael! We're delighted to hear about your positive experience and appreciate your kind words about our team and facilities. We look forward to welcoming you all in the future!
Ryan C.
I recommend BHO if you want premier Invisalign treatment along with a strong connection with the people that help treat you.

I’ve been with BHO for around two and a half years now, and the amount of progress I’ve made in my bite is astounding. I wish I could attach photos, but I started off with a bite that looked like if you combined the worst parts of a crossbite and underbite, and then doubled the severity.

However, now I’m nearly done, and find that I when I smile and look in the mirror, I am genuinely happy at what I see. Dr. Madan is a great orthodontist without doubt, but also I believe equally as good in quality of character. The relationship between client and provider in any sort of medical service is paramount, and whenever I’ve brought up my concerns to her she’s answered wholeheartedly.

Once again, if you have any orthodontic issues - crooked teeth, gaps, or most importantly with your bite, then BHO won’t let you down.
Response from the owner:Thank you, Ryan, for your wonderful review! It’s fantastic to hear about your remarkable progress and your positive experience with Dr. Madan. We’re committed to building strong relationships and ensuring every smile shines bright!
Cindy M.
Dr. Madam along with her whole team are amazing! Very patient and attentive, always welcoming and making the Invisalign journey a pleasant experience
Response from the owner:Thank you, Cindy! We're thrilled to hear that you had a positive experience with Dr. Madan and our team. Your satisfaction is our priority, and we look forward to continuing your Invisalign journey!
Chelsea C.
Went in for a free consultation. I saw Dr. Serena and Angela who helped answer all my questions. The staff that took my scans were also very nice and friendly!
Response from the owner:Thank you for your wonderful review, Chelsea! We're thrilled to hear that Dr. Serena and Angela addressed all your questions and that our staff made your visit enjoyable. We look forward to seeing you again!
read more reviews
come visit us

We can’t wait
to see you soon!

  • BEVERLY HILLS
  • 2080 Century Park E #505
    Los Angeles, CA 90067
  • DOWNTOWN LA
  • 740 S. Olive St. Unit 105
    Los Angeles, CA 90014
  • STUDIO CITY
  • 10751 Riverside Dr.
    Toluca Lake, CA 91602
  • ALHAMBRA
  • 320 S. Garfield Ave. Suite 306
    Alhambra, CA 91801
Alhambra

Studio City

Downtown LA

Beverly Hills

Sign up for our Newsletter!

Keep up to date on everything Beverly Hills Orthodontics is doing with our patients and the community!

[ctct form="16980" show_title="false"]
Footer logo

QUICK LINKS

  • Our Practice
  • What We Do
  • Patient Resources
  • Contact Us
  • In The Press
  • Our Practice
  • What We Do
  • Patient Resources
  • Contact Us
  • In The Press

CONTACT US

  • Locations
  • Beverly Hills
  • Downtown LA
  • Studio City
  • Alhambra
  • Call/Text (310) 785-0770

FOLLOW US

  • Facebook
  • Instagram
  • Twitter
  • YouTube
  • Yelp

CONTACT HOURS

Monday8:00am – 6:00pm
Tuesday8:00am – 6:00pm
Wednesday8:00am – 6:00pm
Thursday8:00am – 6:00pm
Friday8:00am – 6:00pm
Saturday8:00am – 4:00pm
Request Free Consult

© Copyright 2026 Beverly Hills Orthodontics | Sitemap | Privacy Policy | Notice of Privacy Practices | Accessibility 

We're Hiring! Contact Us for Details on Open Positions!

Apply Now

tooth, patient, jaw, malocclusion, cosmetic dentistry, orthognathic surgery, surgery, pain, clear aligners, gums, orthodontics, chin, incisor, crossbite, overjet, tooth decay, therapy, retainer, periodontal disease, temporomandibular joint, arch, premolar, tooth wear, thumb sucking, gingivitis, tooth enamel, tongue thrust, dental braces, chewing, mouth, tongue, accessibility, quality of life, disease, signs and symptoms, molar, mandible, maxilla, pacifier, temporomandibular joint dysfunction, bruxism, herbst appliance, lingual braces, thumb, buck teeth, dental, braces, bottom teeth, health issues, open bite, lower teeth, orthodontic, orthodontic treatment, tmj, aligners, top teeth, orthodontist, fix, severe overbites, overbite correction, front teeth, overbites, overbite

Frequently Asked Questions
Can an overbite be corrected?
Yes, an overbite can be corrected using various orthodontic treatments such as braces, Invisalign, or in some cases, jaw surgery. Consulting with an orthodontist will help determine the best approach for your specific situation.
How long do braces take to correct an overbite?
The duration for braces to correct an overbite typically ranges from 12 to 24 months, depending on the severity of the overbite and individual treatment plans. Regular check-ups will help ensure progress is on track.
Are braces necessary for overbite?
Braces are often necessary for correcting an overbite, as they effectively realign teeth and jaws. However, treatment options may vary based on the severity of the overbite and individual patient needs.
Can an overbite cause a lisp?
Yes, an overbite can cause a lisp. The misalignment of teeth may affect tongue positioning during speech, leading to difficulties in articulating certain sounds, which can result in a lisp.
Are overbites bad?
Yes, overbites can be problematic as they may lead to issues such as jaw pain, discomfort, speech difficulties, and accelerated tooth wear. Addressing an overbite can improve both function and aesthetics, enhancing overall oral health.
Can a severe overbite be corrected?
Yes, a severe overbite can be corrected through various orthodontic treatments, including braces, Invisalign, headgear, or jaw surgery, depending on the specific case and patient needs. Consulting with an orthodontist will determine the best approach.
Can adult deep overbite be corrected without surgery?
Yes, adult deep overbites can often be corrected without surgery using orthodontic treatments like braces or Invisalign. These methods effectively realign teeth and improve bite function over time.
Will fixing an overbite change face shape?
Yes, fixing an overbite can change your face shape. By realigning the teeth and jaw, treatment can enhance facial symmetry and improve overall facial aesthetics, resulting in a more balanced and harmonious appearance.
Can an overbite be corrected forever?
Yes, an overbite can be corrected effectively with orthodontic treatment, and with proper care and retention, the results can be maintained indefinitely. Regular dental check-ups and wearing retainers as prescribed are essential for long-lasting results.
Can an incisor overbite be corrected?
Yes, an incisor overbite can be corrected through various orthodontic treatments such as braces, Invisalign, or other appliances. A consultation with an orthodontist will help determine the best approach for your specific case.
Can a 4-year-old overbite correction?
Yes, a 4-year-old can undergo overbite correction. Early intervention can help guide jaw development and improve alignment, often using methods like orthodontic appliances to create a healthier bite as the child grows.
Can all on 4 correct overbite?
All-on-4 dental implants primarily address tooth loss and restoration rather than correcting bite misalignments like an overbite. For overbite correction, orthodontic treatments such as braces or Invisalign are typically recommended.
How much do braces cost for an overbite correction?
The cost of braces for overbite correction typically ranges from $3,000 to $7,000, depending on the complexity of the case and the type of braces used. Consult with an orthodontist for a personalized estimate.
Can an overbite be fixed in adults?
Yes, an overbite can be fixed in adults through various orthodontic treatments such as braces, Invisalign, or jaw surgery, depending on the severity. Consult an orthodontist to determine the best approach for your specific situation.
Can an overbite cause apnea?
Yes, an overbite can contribute to sleep apnea by affecting jaw alignment and airway obstruction, which may lead to breathing difficulties during sleep. Addressing the overbite through orthodontic treatment can help alleviate these issues.
Can an overbite be corrected with braces?
Yes, an overbite can be effectively corrected with braces. Braces apply consistent pressure to gradually shift teeth into proper alignment, helping to reduce the overbite and improve overall dental function and aesthetics.
Can a retainer fix an overbite?
A retainer alone cannot fix an overbite, as it primarily maintains teeth position after orthodontic treatment. To correct an overbite, more comprehensive treatments like braces or Invisalign are typically required.
Can adult overbite be corrected with braces?
Yes, adult overbites can be effectively corrected with braces. Treatment typically involves realigning the teeth and jaw to improve bite function and aesthetics, resulting in a healthier smile.
Can aligners fix overbite?
Yes, aligners can effectively fix overbites by gradually shifting teeth into their desired positions. However, the extent of correction depends on the severity of the overbite, so a consultation with an orthodontist is essential for a tailored treatment plan.
Can braces fix a 100% overbite?
Yes, braces can effectively fix a 100% overbite by gradually repositioning the teeth and aligning the jaw. Treatment duration and methods may vary based on individual cases, so a consultation with an orthodontist is essential for a tailored plan.
Can an overbite affect singing?
Yes, an overbite can affect singing by altering the positioning of the tongue and airflow, which may impact vocal resonance and clarity. This misalignment can lead to challenges in producing certain sounds, affecting overall vocal performance.
Are braces needed for an overbite of 4mm?
Braces are typically recommended for an overbite of 4mm to effectively align the teeth and jaws. They help correct the misalignment, improving both aesthetics and functionality. Consult with an orthodontist for a tailored treatment plan.
Is it worth getting braces for an overbite?
Yes, getting braces for an overbite is worth it. They not only enhance your smile's aesthetics but also improve oral function, reduce discomfort, and prevent future dental issues, leading to long-term benefits for your overall dental health.
Can a retainer at night fix an overbite?
A retainer worn at night can help maintain teeth positions after orthodontic treatment, but it typically cannot correct an existing overbite. For effective overbite treatment, consult an orthodontist for appropriate options.
Can an overbite be fixed?
Yes, an overbite can be fixed through various orthodontic treatments such as braces, Invisalign, or in some cases, jaw surgery. A professional orthodontist can assess your specific situation and recommend the most effective solution.
Can a posterior overbite come on suddenly?
Yes, a posterior overbite can develop suddenly due to factors such as trauma, dental changes, or growth spurts in children. It's important to consult an orthodontist for assessment and appropriate treatment options.
Can an overbite cause breathing problems?
Yes, an overbite can potentially cause breathing problems. When the upper teeth significantly overlap the lower teeth, it may restrict airflow and lead to difficulties in breathing, particularly during sleep, potentially contributing to conditions like sleep apnea.
Are overbites noticeable?
Yes, overbites are often noticeable as they cause the upper front teeth to protrude significantly beyond the lower teeth, affecting both appearance and bite functionality. This can impact self-esteem and lead to other dental issues.
Does an overbite impact jaw alignment?
Yes, an overbite can significantly impact jaw alignment. It may lead to improper jaw positioning, causing strain on the jaw muscles and joints, which can result in discomfort and functional issues over time.
Related Pages:
  • gap teeth: before and after
  • crowded teeth: before and after
  • crossbite: before and after
  • before and after braces
  • invisalign: before and after
  • black triangle: before and after
  • do braces fix overbites?
  • crooked teeth: before and after
  • underbite: before and after treatment at bho
  • overjet vs overbite

overbite, overbite braces before and after, overbite before and after, overbite before and after braces, invisalign overbite before and after, overbite correction before and after, before and after overbite, braces overbite before and after, big overbite, over bite pictures