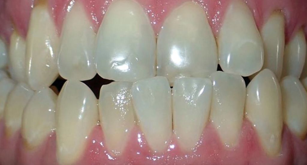
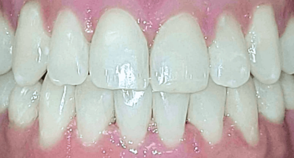
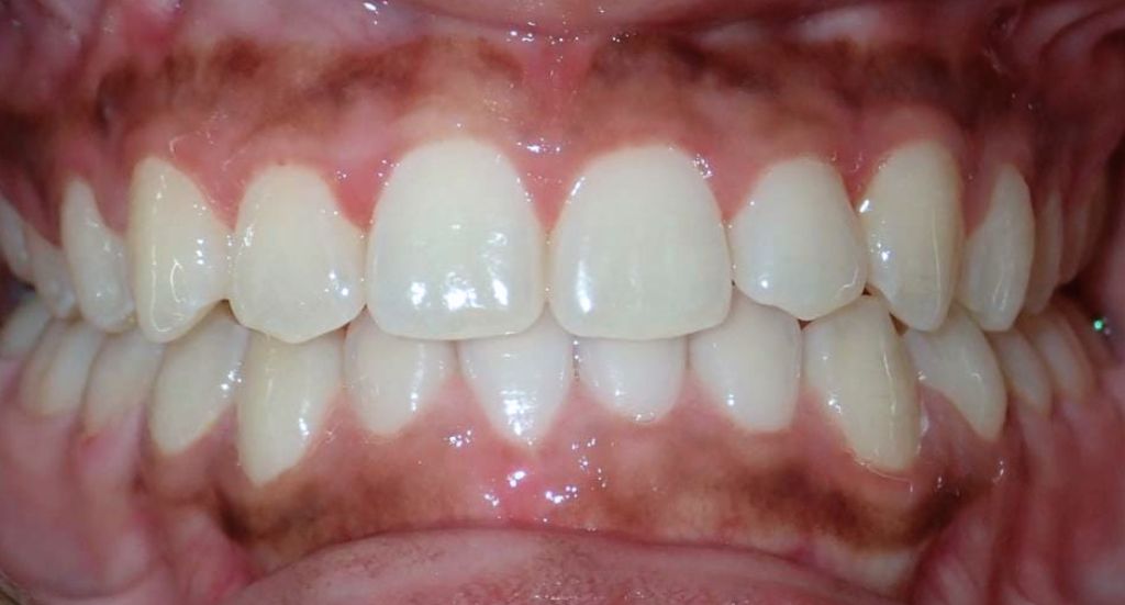
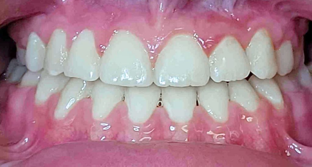
Underbites not only have the potential to affect your self-confidence and hinder your willingness to smile, but they can also give rise to oral health challenges. Exploring real-life transformations in individuals who have undergone treatment at Beverly Hills Orthodontics can offer you some insight into the advantages of our services.
We provide a range of treatments tailored to address underbites and help you achieve the smile you deserve, including:
- Braces
- Elastics
- Headgear
- Jaw surgery
- Tooth extraction
- Invisalign
Through a comprehensive evaluation of your unique requirements, we can develop a personalized orthodontic strategy to give you the radiant smile you’ve always wanted, typically within 12-24+ months.
At the helm of our practice is Dr. Monica Madan, a distinguished Ivy League alumna who remains committed to advancing the field of orthodontics. Our team remains at the forefront of orthodontic advancements by using cutting-edge tools and techniques. As a prestigious Blue Diamond Top 1% Invisalign provider, a distinction held by only a few in California, you can trust our expertise to provide you with the finest underbite treatment.
With offices in Beverly Hills, Studio City, Alhambra, and Downtown LA, Beverly Hills Orthodontics is accessible to nearly all residents of Los Angeles County.