Skip to content
  • Call / Text (310) 785-0770
  • Payment Calculator
  • Blog
  • Shop
  • In The Press
Before & After
free consult
  • Call / Text (310) 785-0770
  • Payment Calculator
  • Locations
  • Blog
  • Shop
  • In The Press
Before & After
free consult
BHO White Logo
  • Our Practice
    • Who We Are
    • What Sets Us Apart
    • Meet Our Team
    • Meet The Doctors
    • Advanced Technology
    • In The Press
    • Patient Reviews
    • Community Events
  • What We Do
        • Invisalign®
          • About Invisalign
          • Invisalign For Kids
          • Invisalign for Teens
          • Invisalign For Adults
          • Invisalign FAQ
        • Braces
          • Types Of Braces
          • Braces For Kids
          • Braces For Teens
          • Braces For Adults
          • Braces for Seniors
          • Braces FAQ
        • Other Treatments
          • Accelerated Orthodontics
          • Zoom Teeth Whitening
          • Retainers
          • Phase One Orthodontics
          • Family Orthodontics
  • Resources
    • Your First Visit
    • Virtual Consult
    • Refer a Patient
    • Overseas Patients
    • Financial Information
    • Orthodontic FAQ
    • Before & After
    • The BHO Edit - Explore Our Blog
    • Emergency Orthodontics
    • Shop
  • Contact
    • Contact Info
    • Careers
    • Beverly Hills
    • Downtown Los Angeles
    • Studio City
    • South Pasadena/Alhambra
  • Before & After
  • Free Consult
BHO White Logo
  • Our Practice
    • Who We Are
    • What Sets Us Apart
    • Meet Our Team
    • Meet The Doctors
    • Advanced Technology
    • In The Press
    • Patient Reviews
    • Community Events
  • What We Do
    • Invisalign®
      • About Invisalign
      • Invisalign For Kids
      • Invisalign for Teens
      • Invisalign For Adults
      • Invisalign FAQ
    • Braces
      • Types Of Braces
      • Braces For Kids
      • Braces For Teens
      • Braces For Adults
      • Braces for Seniors
      • Braces FAQ
    • Other Treatments
      • Accelerated Orthodontics
      • Zoom Teeth Whitening
      • Retainers
      • Phase One Orthodontics
      • Family Orthodontics
  • Resources
    • Your First Visit
    • Virtual Consult
    • Refer a Patient
    • Overseas Patients
    • Financial Information
    • Orthodontic FAQ
    • Before & After
    • The BHO Edit – Explore Our Blog
    • Emergency Orthodontics
    • Shop
  • Contact us
    • Contact Info
    • Careers
    • Beverly Hills
    • Downtown Los Angeles
    • Studio City
    • South Pasadena/Alhambra
  • Call / Text (310) 785-0770
  • Locations
  • Payment Calculator
  • Blog
  • Get $1,000 Off
GET $1,000 OFF
  • Facebook
  • Instagram
  • List Item
  • YouTube
  • List Item

Crooked Teeth Before and After

If you have crooked teeth, it might cause you to be self-conscious about your smile. A smile can light up the room and be a way for you to connect with strangers. At Beverly Hills Orthodontics we believe everyone deserves a smile they love!

Crooked teeth can cause problems beyond appearance, including chewing difficulties, tissue trauma, tooth damage, and pain from uneven pressure while you bite. Consulting an orthodontist for treatment can help you decide how and when to address these issues.


This Crooked Teeth Before and After Gallery showcases two of BHO’s most recent patient success stories. See for yourself how BHO corrects crooked teeth with different treatment options.

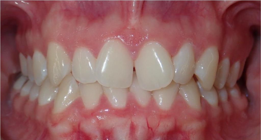
Patient 1

This patient came to us because she wanted to fix her overlapped and crooked teeth. Her treatment consisted of elastics (which she admitted she was not great at remembering to wear) paired with bonded braces using frictionless brackets that hold the archwire in place using a slide mechanism without the typical colorful ties.

After wearing braces to move her teeth into the right positions, she now wears Viveras Invisalign retainers to keep the there.

Before

crooked-before-2
crooked-before-4

After

after photo of 1st patient who had crooked teeth

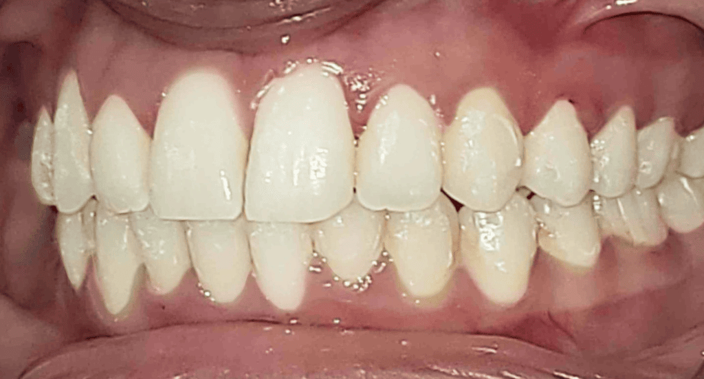
Patient 2

This patient used Invisalign aligners to get her teeth back into the correct position and give her the smile she wanted.

Before

Patient-2-before-1
Patient-2-before-3

After

after photo of 2nd patient who had crooked teeth

What Are Crooked Teeth?

In a conventional bite, the top teeth overlap the bottom teeth slightly in a continuous, smooth arch. Crooked teeth are one of the most common malocclusions and can happen any time a single, or even several, teeth are out of alignment from that smooth curve. Having crooked teeth may eventually lead to bigger problems with speech, eating, and oral health. 
Crooked teeth can manifest in many ways:

  • Rotated Teeth: All teeth have grooves in the top to help them fit nicely with the tooth above or below. When teeth are rotated, these grooves no longer line up, and the more prominent biting surfaces (cusps) can hit too hard or too soon, leading to tooth trauma and pain.  
  • Tilted Teeth: All teeth have a very slight natural tilt toward the center of your mouth and tongue. If teeth tilt too far in (toward your tongue) or out (toward your cheek), it can change where the top and bottom teeth contact. Tilted teeth can lead to both tooth and cheek/gum trauma from improper biting.  
  • Crowded Teeth: When your teeth don’t have enough room as you grow, they become crowded. Crowded teeth often show an array of rotation, tilting, and misalignment, so the teeth can’t contact properly. Crowded teeth are also more difficult to keep clean, which can lead to cavities and bone loss later in life. 

Beverly Hills Orthodontics (BHO) has corrected innumerable mild-to-severe crooked teeth cases across Los Angeles since we began operations in 2008. With locations in Beverly Hills, Downtown LA, Studio City, and Alhambra, Dr. Monica Madan and the BHO team use Invisalign, braces, and other measures to eliminate crooked teeth and provide patients with flawless smiles. 

How Are Crooked Teeth Treated?

Elastics: Elastics can be used along with traditional braces and are rubber bands that add a little extra pressure to help pull the teeth into proper alignment.

Expanders: Palatal expanders sit across the roof of the mouth and evenly apply force to the inside surface of teeth, which gradually moves the teeth further apart, creating a wider upper jaw.

Invisalign: Invisalign uses clear aligner trays to correct patients’ crooked teeth with many of the same benefits from braces, but without common downsides. Invisalign aligners are just as effective as traditional braces and are more convenient and discreet.

Braces: Conventional braces involve metal brackets bonded to the tooth with an archwire connecting all the brackets. The archwire exerts force on the teeth gradually moving them into the correct position.

Why Should You Consider Orthodontic Treatment for Your Crooked Teeth?

  • Enhanced Function: Crooked teeth can affect your bite which can change the way you speak and chew your food. Orthodontic treatment can improve your bite so you can function at your best.
  • Prevent Dental Issues: When teeth are out of alignment there is extra pressure on certain teeth when you bite. Having crooked teeth can cause dental trauma like chipping and fractures. Orthodontic treatment can balance your biting forces and prevent future problems. 
  • Increased Comfort and Pain Reduction: Crooked teeth can cause headaches and jaw pain because of the uneven biting pressure. This extra pressure can even increase the risk of developing temporomandibular joint (TMJ) issues. Orthodontic care can improve your quality of life and make your bite pain-free. 
  • Improved Aesthetics: By straightening your teeth, orthodontics can give you a more pleasing smile and help increase self-confidence.

Beverly Hills Orthodontics Provides the Best Crooked Teeth Treatment in Los Angeles

Crooked teeth can impact not only your self-esteem but also your oral health. Above, you have seen just a glimpse of the amazing work we do here at  Beverly Hills Orthodontics. After seeing the real-life examples of these before and after cases of straightening crooked teeth, you can see the benefit of coming to BHO for your orthodontic treatment. For crooked teeth, we provide treatment options that include:

  • Braces
  • Elastics
  • Expanders
  • Invisalign

When you schedule a consultation, your BHO team can create a customized orthodontic treatment plan to give you the beautiful smile you deserve within 12-24+ months. 

Our founder and lead orthodontist, Dr. Monica Madan, is an Ivy League graduate who keeps us at the forefront of orthodontic treatments using the latest tools and techniques. As a Blue Diamond Top 1% Invisalign provider – one of only four in California – you can be sure you’ll receive the best treatment for your crooked teeth. 

With offices in Beverly Hills, Studio City, Alhambra, and Downtown LA, Beverly Hills Orthodontics is accessible to nearly all residents of Los Angeles County.

Want to get more before and after information about crooked teeth? Call or text BHO at 310-785-0770 or visit our contact page to book a consultation and start your path toward a brighter smile.

NOTE: All blog content is intended to supplement—NOT REPLACE—the expertise of a healthcare professional and should not be construed in any way as medical advice. Consult a professional orthodontist directly, like the ones at BHO, to assess your individual needs and advise the best course of treatment.
Happy Girl

Get Started Today

Ready to transform your smile?

Request Free Consult
Special Offer

$1,000 Off Invisalign or Braces

Get Started

patient reviews

Enjoy our 5-star experience.

We are thankful for the opportunity to serve our communities with the highest quality care. Check out what our patients are saying about their 5-star experience with us!

smiling-beautiful-girl-her-handsome-boyfriend-casual-summer-clothes-web
Paloma G.
I cannot say enough wonderful things about Dr. Monica and the team at Beverly Hills Orthodontics. After an accident, smiling confidently again felt so far away, and I am beyond grateful to have found her. Dr. Monica is not only incredibly talented and detail oriented, but also one of the kindest and most caring doctors I have ever met. She took the time to understand my situation, made me feel comfortable every step of the way, and truly treated me with so much compassion. She has helped me feel excited and happy to smile again, which is something I do not take for granted. Her work has made such a meaningful difference in my confidence and daily life. Thank you, Dr. Monica, for everything you have done for me. Five stars truly do not feel like enough ⭐⭐⭐⭐⭐
Response from the owner:Thank you for your positive feedback! We are thrilled to hear that you had a great experience with us. Your satisfaction is our priority, and we look forward to serving you again in the future.
Michael F.
Lovely people. Totally professional and top-notch facilities. Even though my particular issue would require a different specialist, they referred me to a great one, and Dr Madden was every bit as fantastic as I’d heard she was. Empathetic and insightful. I will come back here when my kids need braces for sure.
Response from the owner:Thank you for your thoughtful review, Michael! We're delighted to hear about your positive experience and appreciate your kind words about our team and facilities. We look forward to welcoming you all in the future!
Ryan C.
I recommend BHO if you want premier Invisalign treatment along with a strong connection with the people that help treat you.

I’ve been with BHO for around two and a half years now, and the amount of progress I’ve made in my bite is astounding. I wish I could attach photos, but I started off with a bite that looked like if you combined the worst parts of a crossbite and underbite, and then doubled the severity.

However, now I’m nearly done, and find that I when I smile and look in the mirror, I am genuinely happy at what I see. Dr. Madan is a great orthodontist without doubt, but also I believe equally as good in quality of character. The relationship between client and provider in any sort of medical service is paramount, and whenever I’ve brought up my concerns to her she’s answered wholeheartedly.

Once again, if you have any orthodontic issues - crooked teeth, gaps, or most importantly with your bite, then BHO won’t let you down.
Response from the owner:Thank you, Ryan, for your wonderful review! It’s fantastic to hear about your remarkable progress and your positive experience with Dr. Madan. We’re committed to building strong relationships and ensuring every smile shines bright!
Cindy M.
Dr. Madam along with her whole team are amazing! Very patient and attentive, always welcoming and making the Invisalign journey a pleasant experience
Response from the owner:Thank you, Cindy! We're thrilled to hear that you had a positive experience with Dr. Madan and our team. Your satisfaction is our priority, and we look forward to continuing your Invisalign journey!
Chelsea C.
Went in for a free consultation. I saw Dr. Serena and Angela who helped answer all my questions. The staff that took my scans were also very nice and friendly!
Response from the owner:Thank you for your wonderful review, Chelsea! We're thrilled to hear that Dr. Serena and Angela addressed all your questions and that our staff made your visit enjoyable. We look forward to seeing you again!
read more reviews
come visit us

We can’t wait
to see you soon!

  • BEVERLY HILLS
  • 2080 Century Park E #505
    Los Angeles, CA 90067
  • DOWNTOWN LA
  • 740 S. Olive St. Unit 105
    Los Angeles, CA 90014
  • STUDIO CITY
  • 10751 Riverside Dr.
    Toluca Lake, CA 91602
  • ALHAMBRA
  • 320 S. Garfield Ave. Suite 306
    Alhambra, CA 91801
Alhambra

Studio City

Downtown LA

Beverly Hills

Sign up for our Newsletter!

Keep up to date on everything Beverly Hills Orthodontics is doing with our patients and the community!

[ctct form="16980" show_title="false"]
Footer logo

QUICK LINKS

  • Our Practice
  • What We Do
  • Patient Resources
  • Contact Us
  • In The Press
  • Our Practice
  • What We Do
  • Patient Resources
  • Contact Us
  • In The Press

CONTACT US

  • Locations
  • Beverly Hills
  • Downtown LA
  • Studio City
  • Alhambra
  • Call/Text (310) 785-0770

FOLLOW US

  • Facebook
  • Instagram
  • Twitter
  • YouTube
  • Yelp

CONTACT HOURS

Monday8:00am – 6:00pm
Tuesday8:00am – 6:00pm
Wednesday8:00am – 6:00pm
Thursday8:00am – 6:00pm
Friday8:00am – 6:00pm
Saturday8:00am – 4:00pm
Request Free Consult

© Copyright 2026 Beverly Hills Orthodontics | Sitemap | Privacy Policy | Notice of Privacy Practices | Accessibility 

We're Hiring! Contact Us for Details on Open Positions!

Apply Now
Related Pages:
  • gap teeth: before and after
  • crowded teeth: before and after
  • crossbite: before and after
  • before and after braces
  • invisalign: before and after
  • overbite: before and after treatment at bho
  • underbite: before and after treatment at bho
  • invisalign and teeth whitening: what to know before you start
  • does it matter if my child’s baby teeth are crooked?

teeth braces before after, uneven bottom teeth, crooked teeth picture, overcrowding teeth before and after, invisalign crooked teeth before and after, snaggle teeth, before and after teeth straightening, crooked teeth braces before and after, worst teeth before and after braces, braces with crooked teeth, crooked teeth treatment before and after, before and after wearing braces, before and after crowded teeth, bottom teeth crowding before and after, jacked up teeth, crooked bottom tooth, can braces fix rotated teeth, before and after teeth alignment, crooked bottom teeth how to fix, croket teeth, teeth before and after braces, crooked theeth, crooked bottom teeth braces, braces for uneven teeth, mildly crooked teeth, invisalign before and after bottom teeth, how crooked is too crooked for invisalign, crooked bottom teeth before and after, canted teeth before and after, crooked teeth photos, pictures of crooked teeth, messed up teeth before and after, crooked teeth images, my bottom teeth are crooked, orthodontist before after, braces before and after crowding, snaggle tooth smile, rotating teeth orthodontics, pictures of crooked teeth before and after, severe crooked teeth, braces for crooked teeth, most crooked teeth in the world, crooked teeth woman, crooket teeth, most crooked teeth ever, crooked teeth before after, invisalign crooked teeth, how crooked are my teeth, what do braces look like on crooked teeth, invisalign for badly crooked teeth, orthodontic before after, retainer for one crooked tooth, crooked teeth in adults, crooked teeth before and after, type of crooked teeth, bottom teeth crooked, pretty girl with crooked teeth, braces before and after teeth, crucket teeth, crooked smile before and after, invisalign before and after crowding, teeth uneven after braces, smile with crooked teeth, crooked smile after braces, most crooked teeth, before and after straight teeth, braces smile before and after, handsome guys with crooked teeth, rotated teeth before and after, tilt teeth, crooked braces, crooked teth, invisalign for slightly crooked teeth, overlap teeth before and after, picture of crooked teeth, slanted teeth invisalign, crooked side teeth, can crooked teeth cause problems, bad teeth before and after braces, slanted teeth with braces, before and after orthodontics stories, does invisalign fix crooked teeth, crookes teeth, crooked teeth with braces, beautiful people with crooked teeth, overcrowded teeth before and after braces, misaligned teeth before and after, crowding teeth before and after, crooked teeth santa monica ca, before and after braces teeth, braces on crooked teeth before and after, slanted teeth braces, overlapped teeth before and after, high canine teeth before and after braces, rotated teeth, adults with crooked teeth, braces before and after crowded teeth, why do bottom teeth get crooked, treatment for uneven teeth, crowded teeth before and after, i have crooked teeth, bottom row of teeth crooked, slightly crooked teeth, bottom teeth are crooked, teeth straightening before and after, crooked teeth hurt, braces for crowded teeth before and after, top fixing crooked teeth, crooked teeth pictures, invisalign overlapping teeth before and after, crooker teeth, really crooked teeth, metal braces santa barbara ca, inward slanted teeth before and after, can invisalign fix really crooked teeth, 1 crooked tooth, crowded crooked teeth, crooked bottom teeth, crooked teeth before and after braces, braces teeth before and after, super crooked teeth, braces in crooked teeth, slanted smile, crooked teeth pics, crowded teeth after braces, braces crowded teeth before after, criket teeth, crooked teeth braces before after, bottom teeth crooked after braces, invisalign for rotated teeth, straighten teeth before and after, crooked teeth invisalign, can crooked teeth cause pain, having crooked teeth, teeth alignment before and after, crooked teeth fix, teeth crooked after braces, teeth still crooked after braces, crookedness teeth, bottom braces before and after, can your teeth be too crooked for invisalign, crowded teeth before and after braces, sideways teeth, people with crooked teeth, why is my mouth crooked in pictures, help for crooked teeth, slanted teeth, very crooked teeth, what will my teeth look like after braces, inbrace before and after, overcrowded teeth before and after, how crooked do your teeth have to be for braces, slanted jaw after braces, extremely crooked teeth, teeth with braces before and after, smile crooked teeth, one crooked bottom tooth, overlapped teeth braces, teeth correction before and after, what is crooked teeth about, invisalign with rubber bands before and after, invisalign for crowded teeth before and after, what teeth should look like after braces, images of crooked teeth, severely crooked teeth, crooked teeth men, bad teeth braces before and after, braces smile before after, orthodontic before and after california, crooked teeth with braces before and after, snaggletooth before and after, can you get invisalign with really crooked teeth, how bad can your teeth before invisalign, what should teeth look like after braces, smiling with crooked teeth, orthodontic before and after, proclined teeth before and after, braces before and after crooked teeth, crooked teeth correction, crooked teeth treatment, invisalign rotated teeth, tooth rotation braces, crooked incisors, deformed teeth photos, invisalign crooked bottom teeth, teeth braces before and after, crooked teeth and braces, crooked teetg, severely rotated tooth, really bad teeth before and after braces, types of crooked teeth, my teeth are crooked, braces crooked teeth before and after, aligners for teeth before and after, invisalign slanted teeth, uneven bite after braces, tilted teeth after braces, brace teeth before and after, crooked upper teeth, really crooked teeth with braces, invisalign bottom teeth before and after, crooked teeth solutions los angeles, before and after crooked teeth, slanted upper teeth, very bad teeth before and after, very crooked teeth before and after, how to fix slanted teeth, braces teeth before after, teeth aligner before and after, back teeth crooked, crocked teeth, crooked teath, crooked teeth after braces, beautiful crooked teeth, orthodontist before and after, fix my rotated teeth, rotated tooth, bottom teeth braces before and after, worst crooked teeth, overlapping teeth before and after braces, invisalign rotated teeth before and after, before and after braces crowding, braces crooked teeth, crooked teeth smile, crooked tooth, crooked white teeth, misaligned teeth before and after braces, crooked teeths, crowded teeth braces before after, crooked teeth are beautiful, uneven teeth before and after, crooked t, invisalign on crooked teeth, my smile is crooked, woman with crooked teeth, before and after teeth aligners, white crooked teeth, improper overlap of teeth, what should your teeth look like after braces, wonky teeth before and after, braces for slightly crooked teeth, how to smile with crooked teeth, crooked tooth pain, severely crooked teeth before and after braces, before and after with braces, rotated incisors, crooked molars, cooked teeth, braces on really crooked teeth, before and after braces crooked teeth, slanted teeth after braces, crowded teeth braces before and after, moderate crooked teeth, guys with crooked teeth, teeth crooked, uneven smile after braces, crooked teet, crooked teeth before and after invisalign, bottom teeth before and after braces, crooked teeth bottom, can invisalign fix rotated teeth, tilted teeth, what do crooked teeth look like, my teeth are slanted, braces on very crooked teeth, crooked bottom teeth invisalign, mild crooked teeth, why are my bottom teeth getting crooked, what is crooked teeth, jagged teeth before and after, can crooked teeth affect speech, slanted teeth before and after, crooked teeth braces, crowded teeth before and after invisalign, invisalign before and after crooked teeth, invisalign widen smile before and after, invisalign crowded teeth before and after, men with crooked teeth, what does crooked teeth look like, crooked front teeth before and after braces, braces on crooked teeth, braces for buck teeth before and after, crooked teeth invisalign before and after, bottom crooked teeth, invisalign before and after crowded teeth, snaggle tooth before and after, braces for crooked teeth before and after, treatment for crooked teeth, croocked teeth, invisalign for really crooked teeth, crooked top teeth, crooked teeth transformation, correct my rotated teeth, invisalign for very crooked teeth, teeth before after braces, crowded bottom teeth before and after, crooked teeth pain, teeth before braces and after, braces cases before and after, before and after braces on crooked teeth, treatment for rotated teeth, cute guys with crooked teeth, top teeth completely cover bottom teeth, crooked teeth beautiful, bottom teeth overlapping, uneven teeth after braces, invisalign for crooked bottom teeth, crokked teeth, twisted teeth braces, top teeth cover bottom teeth, unstraight teeth, bigger teeth before and after, crooked bottom teeth after braces, braces bottom teeth before and after, how to get crooked teeth, can a retainer fix crooked teeth, girl with fucked up teeth, rotated teeth invisalign, invisalign wider smile before after, crooked teeth with invisalign, crooked teeth alignment, crooked vs crooked, pictures of teeth after braces, different types of crooked teeth, before and after orthodontics, crooked teeth smile photos, crucked teeth, before and after teeth braces, teeth after and before braces, braces crowding before and after, braces before after, before and after braces, slightly crooked bottom teeth, retroclined teeth before and after, teeth still crooked after invisalign, why are my teeth crooked, orthodontic treatment before and after, girl crooked teeth, my mouth is crooked, are my teeth crooked, crooked teeth., one crooked teeth, crooked eye teeth, crooked lower teeth, cricked teeth, people with braces before and after, extreme crooked teeth, brackets en dientes chuecos antes y después, crooked teeth beautiful smile, pictures of teeth that need braces, how do crooked teeth happen, can you get invisalign with very crooked teeth, braces buck teeth before and after, me myself and irene teeth, how to fix crooked teeth after braces, why is my smile crooked in pictures, orthodontic treatment for crooked teeth, before and after of braces, crowding braces before and after, crooked.teeth, crroked teeth, big teeth braces before and after, crooked bottom.teeth, crooked and crowded teeth, slanted bottom teeth, teeth cases, crooked tooth smile, what is a crooked teeth, beverly manifest, dientes chuecos con brackets antes y despues, teeth crowding before and after, braces for teeth before and after, severely rotated teeth, teeth crooked after invisalign, my tooth is crooked, forward teeth before and after, teeth are slanted, invisalign very crooked teeth, brace before and after, casos de dientes chuecos, teeth before after, invisalign for severely crowded teeth, teeth shifting before and after, tooth braces before and after, crooked teeth invisalign before and after worst cases, what are crooked teeth, teeth before and after, unaligned teeth, crooked teeth problems, future teeth before and after, misaligned teeth after braces, how are crooked teeth fixed, crooked back teeth, how to fix crooked teeth in adults, braces to widen smile before and after, smile before after braces, very crooked teeth with braces, brace before and after teeth, worst crooked teeth ever, dientes chuecos antes y después, adults braces before after, can braces fix really crooked teeth, fix my crooked teeth, rotated teeth braces, invisalign for crooked teeth, invisalign before and after crooked front teeth, how to fix bottom crooked teeth, very crooked teeth invisalign, crowded bottom teeth before and after braces, crooked teeth retainer, bottom teeth uneven, teeth not straight after invisalign, attractive crooked teeth, crooked teeth photo, bottom teeth slanted, rotated tooth braces, what is a crooked, girl with crooked teeth, crooked teeth whitening, dientes torcidos antes y despues, invisalign rubber bands before and after, why are bottom teeth crooked, twisted tooth braces, teeth getting crooked after braces, models with crooked teeth, how crooked can teeth be for invisalign, before and after braces crowded teeth, i love summer i love her crooked teeth, midline teeth before and after, why is my smile crooked, crooked teeth girl, before and after braces smile, why are my teeth still crooked after braces, crocket teeth, crooked teeth types, summer crooked teeth, rotated tooth treatment, are my teeth too crooked for invisalign, can retainers fix crooked teeth, people with brown teeth, protrusion teeth before after, orthodontics before and after, orthodontic cases before and after, pretty people with crooked teeth, best treatment for crooked teeth, braces behind teeth before and after, crowding before and after braces, why is my bottom teeth crooked, crooked crowded teeth, flared teeth before and after, crooked overlapping teeth, teeth going crooked after braces, tilted teeth treatment, crooked two front teeth, teeth sit on top of each other, before and after braces on teeth, teeth alignment trainer before and after, wonky teeth with braces, extreme braces before and after, crooked bottom teeth fix, crooked teeth beauty, can braces fix crooked teeth, straight top teeth crooked bottom teeth, side ways teeth, braces with missing teeth before and after, twisted teeth treatment, correct my crooked teeth, extreme invisalign before and after, snaggletooth braces before and after, beautiful crooked teeth smile, crooked teeth beauty standard, man with crooked teeth, inward slanted teeth after braces, do braces fix slanted teeth, teeth fixing before and after, what teeth look like after braces, bottom teeth slanted after braces, fixed teeth before and after, overlapped front teeth, braces before and after side view, cruked teeth, how to fix crooked bottom teeth, braces before and after small teeth, overlapping teeth braces, can braces fix slanted teeth, ortho before and after, crooked teeth fixed, very crooked, teeth overlapping after braces, teeth out of mouth, why do teeth grow crooked, rotated teeth correction, my teeth are so crooked, cheek hill ortho, would you date someone with crooked teeth, overlapping front teeth before and after, fixing crooked bottom teeth, teeth fix before and after, quick straight teeth before and after, braces uneven teeth, bottom front teeth crooked, extremely crooked teeth before and after braces, teeth fixed before and after, canine teeth before and after braces, before and after teeth, teeth too crooked for invisalign, crowded teeth veneers before and after, teeth smoothing before and after, correct position of teeth, overlapping teeth invisalign, overlapping teeth correction, teeth slanted sideways, crookee teeth, crook teeth, what does invisalign look like on crooked teeth, composite bonding on crooked teeth before and after pictures, partial braces before and after, before after teeth, protruding teeth before and after braces, invisalign before and after worst cases, veneers on crooked teeth before and after