Skip to content
  • Call / Text (310) 785-0770
  • Payment Calculator
  • Blog
  • Shop
  • In The Press
Before & After
free consult
  • Call / Text (310) 785-0770
  • Payment Calculator
  • Locations
  • Blog
  • Shop
  • In The Press
Before & After
free consult
BHO White Logo
  • Our Practice
    • Who We Are
    • What Sets Us Apart
    • Meet Our Team
    • Meet The Doctors
    • Advanced Technology
    • In The Press
    • Patient Reviews
    • Community Events
  • What We Do
        • Invisalign®
          • About Invisalign
          • Invisalign For Kids
          • Invisalign for Teens
          • Invisalign For Adults
          • Invisalign FAQ
        • Braces
          • Types Of Braces
          • Braces For Kids
          • Braces For Teens
          • Braces For Adults
          • Braces for Seniors
          • Braces FAQ
        • Other Treatments
          • Accelerated Orthodontics
          • Zoom Teeth Whitening
          • Retainers
          • Phase One Orthodontics
          • Family Orthodontics
  • Resources
    • Your First Visit
    • Virtual Consult
    • Refer a Patient
    • Overseas Patients
    • Financial Information
    • Orthodontic FAQ
    • Before & After
    • The BHO Edit - Explore Our Blog
    • Emergency Orthodontics
    • Shop
  • Contact
    • Contact Info
    • Careers
    • Beverly Hills
    • Downtown Los Angeles
    • Studio City
    • South Pasadena/Alhambra
  • Before & After
  • Free Consult
BHO White Logo
  • Our Practice
    • Who We Are
    • What Sets Us Apart
    • Meet Our Team
    • Meet The Doctors
    • Advanced Technology
    • In The Press
    • Patient Reviews
    • Community Events
  • What We Do
    • Invisalign®
      • About Invisalign
      • Invisalign For Kids
      • Invisalign for Teens
      • Invisalign For Adults
      • Invisalign FAQ
    • Braces
      • Types Of Braces
      • Braces For Kids
      • Braces For Teens
      • Braces For Adults
      • Braces for Seniors
      • Braces FAQ
    • Other Treatments
      • Accelerated Orthodontics
      • Zoom Teeth Whitening
      • Retainers
      • Phase One Orthodontics
      • Family Orthodontics
  • Resources
    • Your First Visit
    • Virtual Consult
    • Refer a Patient
    • Overseas Patients
    • Financial Information
    • Orthodontic FAQ
    • Before & After
    • The BHO Edit – Explore Our Blog
    • Emergency Orthodontics
    • Shop
  • Contact us
    • Contact Info
    • Careers
    • Beverly Hills
    • Downtown Los Angeles
    • Studio City
    • South Pasadena/Alhambra
  • Call / Text (310) 785-0770
  • Locations
  • Payment Calculator
  • Blog
  • Get $1,000 Off
GET $1,000 OFF
  • Facebook
  • Instagram
  • List Item
  • YouTube
  • List Item

Crowded Teeth Before and After: BHO Treatment Gallery

Having crowded teeth can lead to lots of additional problems throughout your lifetime. Excessive crowding can make it hard to chew or practice proper dental hygiene, which could lead to cavities and bone loss, not to mention the self-esteem issues that can come from having teeth that don’t match what you would like to see in the mirror.

Here at Beverly Hills Orthodontics, we believe everybody deserves an award-winning smile they can be proud of. If you have crowded teeth and want to see what orthodontic treatment can do for you, peek through our gallery below to see real-life examples of how we can help.

Crowded Teeth Before and After Treatment at BHO

Crowded teeth are no match for the professionals at Beverly Hills Orthodontics. Check out our phenomenal work for these patients in the Crowded Teeth Before and After Gallery.

If you have crowded teeth, just picture the beautifully straight smile we could help you achieve!

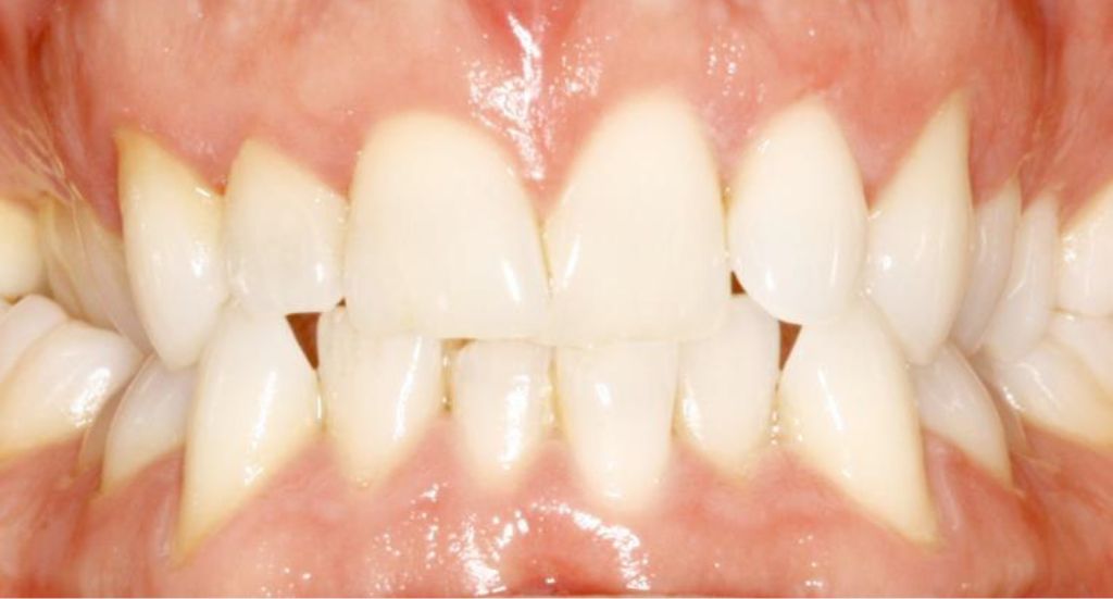
Patient 1

This is another surgical case we participated in at BHO. He came to us to correct his crowded teeth, and we were happy to help. He had surgery to widen his upper jaw (maxilla) and used bonded braces before, during, and after his surgery to guide his teeth into alignment while his bones healed in the correct position. He was also given jaw exercises to do while he was healing. 

After getting his braces off, he used a typical plastic and wire retainer to keep his teeth in position. Still, after some time, he noticed some rotations, so we switched him to a Vivera Invisalign retainer, and his teeth have been in the correct position ever since. He now has a smile that is both functional and looks great.

Before

Patient-3-Before2

After

Patient 2

We started with this patient as a youth consultation and were able to guide his crowded teeth into the proper positions as he grew and his bones developed. He relied solely on Invisalign aligners to get the bright smile you see today! 

Before

Patient-1-Before2

After

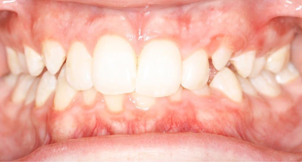
Patient 3

This patient came to us concerned about the crowding of his teeth and his narrow palate. He started Invisalign and then used a palatal expander after which he had bonded braces placed. He now has a wider palate – which allows enough space for all of his teeth,  better breathing, and sinus health – along with an improved bite and a smile he loves.

Before

Patient-2-Before2

After

What Are Crowded Teeth?

As you grow, permanent teeth erupt through your gums along a predictable timeline. If your jaw bones haven’t developed enough to give teeth the space they need to erupt upright and in a continuous arch with neighboring teeth – your teeth will find room in your mouth wherever they can, resulting in teeth that are tilted, rotated, out of alignment, or just generally too crowded for the space they have. 

  • Rotated Teeth. Each of your teeth has cusps (the pointy biting surfaces), and the back teeth also have grooves to help you chew and so your teeth can rest together without too much pressure in a single location. When teeth are rotated in their spot, those cusps and grooves don’t line up, which can affect your ability to eat and speak, and puts extra pressure on the cusps that hit prematurely.  
  • Tilted Teeth. You might notice that all of your teeth lean slightly in toward your tongue when your mouth is closed; this is the natural tilt for the best chewing without damaging your teeth or jaw. If your teeth are tilted too far in or too far out, this changes how your top and bottom teeth contact and could lead to tooth trauma, headaches, jaw aches, and other dental problems like cavities and fractures. 
  • Out of alignment. Your top and bottom teeth make an arch inside your mouth that’s slightly wider in the back and curves around a little more narrowly in front to make room for your tongue and muscles. Having teeth that don’t follow that natural arch can lead to problems with maintaining oral hygiene, speech, and eating and could possibly lead to bone or tooth loss over time from uneven biting pressures.  

Crowded teeth are a common reason people seek treatment at Beverly Hills Orthodontics, and we have corrected crowding issues for more patients than we can count. Starting in 2008, we now have locations in Beverly Hills, Downtown LA, Studio City, and Alhambra. Dr. Monica Madan and the BHO team use Invisalign, braces, and other measures to space out crowded teeth into their natural positions and give our patients flawless smiles.

How Are Crowded Teeth Treated?

TreatmentExplanation
InvisalignInvisalign’s clear aligners are clear trays gently push and pull teeth into the correct position. These aligners are less noticeable and have many other positives compared to metal or ceramic braces.
ExpandersThese dental appliances do just what they say – they expand your upper or lower jaw to make more room for all the teeth to fit in a natural, gently curved arch.Sometimes, there’s enough space for a surgeon to replace the missing tooth with a dental implant; when the space is too small, orthodontics may be able to close the gap.
BracesTraditional braces have metal or ceramic brackets held together by a wire tightened in intervals to shift the teeth into their proper position. Some clinicians believe When that connective tissue is too strong or tight, it puts extra pressure on the bone between the front teeth. This constant pressure can cause a wide space (diastema) between teeth. Without pressure-reducing surgery, the front teeth will spread back apart even after orthodontic treatment. There is debate around this being a causative factor.
ElasticsRubber bands can be paired with traditional braces for a little extra force to direct the movement of your teeth.
RetainersOnce you have finished your treatment, different styles of retainers can help keep your teeth in their new positions.
SurgeryIn cases of severe crowding, where Invisalign/braces and expanders can’t make enough space for your teeth, orthognathic surgery can create that extra space your teeth need for a perfect bite.

Why Should You Consider Orthodontic Treatment for Your Crowded Teeth?

  • Improved Appearance. Some people are self-conscious about the extra spaces between their teeth. Orthodontic treatment can eliminate those spaces and give people a smile they love!
  • Better Function. Extra space between teeth, especially front teeth, can change the way you form words and sounds. Spaces between back teeth can affect your ability to eat and chew. Getting orthodontic treatment to close gaps between teeth can give you better functionality and make your life easier!
  • Prevent Future Problems. Having spaces between your teeth can get food trapped in that spot. Trapped food can lead to dental cavities and gum disease, which can turn into bone loss. By closing those gaps now with orthodontic treatment, you can prevent future problems from developing.

Beverly Hills Orthodontics Provides the Best Treatment for Crowded Teeth in Los Angeles

Having crowded teeth can lead to several problems throughout your life. Not having enough room for all of your teeth causes unbalanced biting forces, which can lead to tooth trauma and bone loss. It can also cause problems with aesthetics if your crowded teeth are noticeable when you smile. Looking at the crowded teeth before and after images above show how orthodontic treatment by the professionals at BHO can move your crowded teeth into their natural position and literally take the pressure off your smile. We straighten crowded teeth using a variety of methods like:

      • Invisalign
      • Braces
      • Retainers
  • Expanders
  • Elastics
  • Surgery

Call the experts at BHO and schedule your consultation to see how we can straighten your crowded teeth in as little as 12-24+ months.

Dr. Madan is our lead orthodontist and an Ivy League graduate. She keeps us updated on the most modern and successful treatments to provide the best care for your smile. As one of only four  Blue Diamond Top 1% Invisalign providers in California, our team can get you the best long-lasting results in fixing your crowded teeth.

Want to get more before and after information about gap teeth? Call or text BHO at 310-785-0770 or visit our contact page to book a consultation and start your path toward a brighter smile.

NOTE: All blog content is intended to supplement—NOT REPLACE—the expertise of a healthcare professional and should not be construed in any way as medical advice. Consult a professional orthodontist directly, like the ones at BHO, to assess your individual needs and advise the best course of treatment.
Happy Girl

Get Started Today

Ready to transform your smile?

Request Free Consult
Special Offer

$1,000 Off Invisalign or Braces

Get Started

patient reviews

Enjoy our 5-star experience.

We are thankful for the opportunity to serve our communities with the highest quality care. Check out what our patients are saying about their 5-star experience with us!

smiling-beautiful-girl-her-handsome-boyfriend-casual-summer-clothes-web
Paloma G.
I cannot say enough wonderful things about Dr. Monica and the team at Beverly Hills Orthodontics. After an accident, smiling confidently again felt so far away, and I am beyond grateful to have found her. Dr. Monica is not only incredibly talented and detail oriented, but also one of the kindest and most caring doctors I have ever met. She took the time to understand my situation, made me feel comfortable every step of the way, and truly treated me with so much compassion. She has helped me feel excited and happy to smile again, which is something I do not take for granted. Her work has made such a meaningful difference in my confidence and daily life. Thank you, Dr. Monica, for everything you have done for me. Five stars truly do not feel like enough ⭐⭐⭐⭐⭐
Response from the owner:Thank you for your positive feedback! We are thrilled to hear that you had a great experience with us. Your satisfaction is our priority, and we look forward to serving you again in the future.
Michael F.
Lovely people. Totally professional and top-notch facilities. Even though my particular issue would require a different specialist, they referred me to a great one, and Dr Madden was every bit as fantastic as I’d heard she was. Empathetic and insightful. I will come back here when my kids need braces for sure.
Response from the owner:Thank you for your thoughtful review, Michael! We're delighted to hear about your positive experience and appreciate your kind words about our team and facilities. We look forward to welcoming you all in the future!
Ryan C.
I recommend BHO if you want premier Invisalign treatment along with a strong connection with the people that help treat you.

I’ve been with BHO for around two and a half years now, and the amount of progress I’ve made in my bite is astounding. I wish I could attach photos, but I started off with a bite that looked like if you combined the worst parts of a crossbite and underbite, and then doubled the severity.

However, now I’m nearly done, and find that I when I smile and look in the mirror, I am genuinely happy at what I see. Dr. Madan is a great orthodontist without doubt, but also I believe equally as good in quality of character. The relationship between client and provider in any sort of medical service is paramount, and whenever I’ve brought up my concerns to her she’s answered wholeheartedly.

Once again, if you have any orthodontic issues - crooked teeth, gaps, or most importantly with your bite, then BHO won’t let you down.
Response from the owner:Thank you, Ryan, for your wonderful review! It’s fantastic to hear about your remarkable progress and your positive experience with Dr. Madan. We’re committed to building strong relationships and ensuring every smile shines bright!
Cindy M.
Dr. Madam along with her whole team are amazing! Very patient and attentive, always welcoming and making the Invisalign journey a pleasant experience
Response from the owner:Thank you, Cindy! We're thrilled to hear that you had a positive experience with Dr. Madan and our team. Your satisfaction is our priority, and we look forward to continuing your Invisalign journey!
Chelsea C.
Went in for a free consultation. I saw Dr. Serena and Angela who helped answer all my questions. The staff that took my scans were also very nice and friendly!
Response from the owner:Thank you for your wonderful review, Chelsea! We're thrilled to hear that Dr. Serena and Angela addressed all your questions and that our staff made your visit enjoyable. We look forward to seeing you again!
read more reviews
come visit us

We can’t wait
to see you soon!

  • BEVERLY HILLS
  • 2080 Century Park E #505
    Los Angeles, CA 90067
  • DOWNTOWN LA
  • 740 S. Olive St. Unit 105
    Los Angeles, CA 90014
  • STUDIO CITY
  • 10751 Riverside Dr.
    Toluca Lake, CA 91602
  • ALHAMBRA
  • 320 S. Garfield Ave. Suite 306
    Alhambra, CA 91801
Alhambra

Studio City

Downtown LA

Beverly Hills

Sign up for our Newsletter!

Keep up to date on everything Beverly Hills Orthodontics is doing with our patients and the community!

[ctct form="16980" show_title="false"]
Footer logo

QUICK LINKS

  • Our Practice
  • What We Do
  • Patient Resources
  • Contact Us
  • In The Press
  • Our Practice
  • What We Do
  • Patient Resources
  • Contact Us
  • In The Press

CONTACT US

  • Locations
  • Beverly Hills
  • Downtown LA
  • Studio City
  • Alhambra
  • Call/Text (310) 785-0770

FOLLOW US

  • Facebook
  • Instagram
  • Twitter
  • YouTube
  • Yelp

CONTACT HOURS

Monday8:00am – 6:00pm
Tuesday8:00am – 6:00pm
Wednesday8:00am – 6:00pm
Thursday8:00am – 6:00pm
Friday8:00am – 6:00pm
Saturday8:00am – 4:00pm
Request Free Consult

© Copyright 2026 Beverly Hills Orthodontics | Sitemap | Privacy Policy | Notice of Privacy Practices | Accessibility 

We're Hiring! Contact Us for Details on Open Positions!

Apply Now
Related Pages:
  • gap teeth: before and after
  • how to fix crowding teeth and get a smile you love
  • before and after braces
  • invisalign: before and after
  • black triangle: before and after
  • crooked teeth: before and after
  • overbite: before and after treatment at bho
  • underbite: before and after treatment at bho

why do i have crowded teeth, expander teeth before after, bottom teeth crowding, dental crowding orthodontic care, overcrowding teeth before and after, crowded upper teeth, lower teeth crowding with age, overcrowding of teeth, severe crowded teeth, crowding front teeth, how to prevent teeth crowding, severe crowding crowding teeth, overcrowding bottom teeth, apiñamiento en niños, before and after crowded teeth, crowded teetg, bottom teeth crowding before and after, overcrowded teeth invisalign, crowded bottom teeth invisalign, overcrowded teeth adults, before and after braces gap teeth, gap teeth before and after, orthodontics crowding, invisalign for bottom teeth crowding, what is crowded teeth, teeth are crowding, fixing overcrowded teeth in adults, crouded teeth, overcrowded teeth treatment, crowded wisdom teeth, crowded teeth bottom, crowded dentition, braces severe crowding, crowded bottom teeth before and after braces, cramped teeth, bottom front teeth crowding, invisalign overcrowding before and after, can overcrowding teeth cause pain, crowding in teeth, how many top teeth do adults have, invisalign for crowded bottom teeth, crowded front teeth, crowding bottom teeth, overcrowding in teeth, braces for crowding, crowding of the teeth, why are my teeth crowding, long bottom teeth, braces before and after crowding, overcrowding teeth braces, front teeth crowding, invisalign narrow palate before and after, crowded mouth, severe crowding teeth treatment, braces for crowded teeth, widen smile before and after, teeth crowded, lumineers teeth, overcrowding invisalign before and after, crowded back teeth, علاج ازدحام الأسنان بدون تقويم, braces overcrowded teeth, overcrowded mouth, dental crowding orthodontic braces, dental crowding and high or narrow palate, crowding lower teeth, can braces fix crowded teeth, crowding teeth braces, invisalign before and after crowding, invisalign crowded teeth, what type of image would reveal crowding, braces crowding before and after, can crowded teeth cause problems, overcrowded lower teeth, what happens if your teeth are overcrowded, before and after straight teeth, before and after braces crowded teeth, super crowded teeth, overcrowded front teeth, croweded teeth, rotated teeth before and after, teeth crowding issue, braces for crowded bottom teeth, overcrowded teeth braces progress month by month, byte before and after crowding, tooth crowding, before and after invisalign crowding, braces for overcrowding, will invisalign work for crowded teeth, gapped teeth before and after braces, severe teeth crowding, what does crowded teeth look like, overcrowded bottom teeth, скученность зубов последствия, crowded top teeth, crowd teeth, tooth overcrowding, crowded smile, teeth crowding near chillicothe, crowding dental, does invisalign work with crowded teeth, braces before and after adults crowding, how do braces work on crowded teeth, crowded teeth causes, overcrowded teeth before and after braces, bottom teeth crowded, crowding teeth before and after, when blank bares his teeth, severe crowding invisalign, overcrowding teeth, dental crowding orthodontic treatment, crowding in bottom teeth, braces before and after crowded teeth, crowded teeth before and after, braces for crowded teeth before and after, what do crowded teeth look like, bottom teeth overcrowding, how to fix overcrowded teeth, what happens if you have crowded teeth, bottom crowded teeth, severe tooth crowding, braces crowded teeth, gap teeth braces before after, crowded teeth., protrusion teeth before after, straight teeth before and after, teeth exercises to straighten, crowding orthodontics, invisalign crowding, crowded teeth problems, overcrowding teeth invisalign, crowded teeth braces, invisalign before after crowding, invisalign severe crowding, invisalign overcrowding cost, crowded teeth after braces, crowded teeth symptoms, braces crowded teeth before after, fixing crowded bottom teeth, overcrowding braces before and after, invisalign for crowding, lower teeth crowding treatment, lower crowding teeth, straighten teeth before and after, packed teeth, tooth crowding in adults, treatment for crowded teeth, braces for crowding teeth, crowded bottom teeth, crowded teeth before and after braces, crowding braces before and after, gap teeth before and after braces, what is crowding teeth, how long do braces take for crowded teeth, teeth gap bands before and after, invisalign crowding before and after, what is overcrowding teeth, teeth crowding after braces, crowding tooth, overcrowded teeth before and after, crowded teeth smile, teeth edit, does invisalign work for crowded teeth, slightly crowded teeth, overcrowded teeth in 9 year old, types of teeth crowding, crowded front bottom teeth, causes of crowded teeth, crowding before and after, crowded teeth lower jaw, does tooth crowding cause pain, invisalign for crowded teeth before and after, does teeth crowding get worse, braces with crowded teeth, extremely crowded teeth, crowding teeth near maineville, braces for overcrowded teeth, crowding before and after braces, teeth crowded on the bottom, crowding invisalign before after, very crowded teeth, what is teeth crowding, teeth crowding before and after, teeth crowding treatment, lower teeth crowding, crowded molars, braces gap teeth before after, extremely overcrowded teeth, invisalign before and after overcrowding, do crowded teeth get worse, severe crowding teeth, invisalign overcrowded teeth, orthodontic options for crowded teeth, invisalign overcrowding, 1 month braces transformation, crowded teeth in kids, tilted teeth after braces, extreme crowding teeth, contoh gigi berjejal, crowded teeth with braces, severely crowded teeth, braces before and after overcrowding, what causes crowded teeth, invisalign teeth crowding, correct my crowded teeth, crowded tooth, before and after braces crowding, treatment for overcrowded teeth, dientes apiñados en niños, crowded teeth braces before after, crowded teeth dentist, retruded jaw, crowded teeth invisalign, can teeth crowding cause pain, crowding teeth invisalign, teeth crowding, braces on overcrowded teeth, dientes apiñados antes y después, dental crowding, moderate crowding teeth, severe crowding braces, crowded terth, invisalign for overcrowding, brackets dientes apiñados, invisalign bottom teeth crowding, over crowded teeth, crowded teeth braces before and after, crowding teeth, over crowding teeth, braces on crowded teeth, crowding teeth treatment, invisalign for crowded teeth, best braces for crowded teeth, teeth crowding with age, stłoczenie zębów, severe overcrowding teeth, overcrowded teeth braces, crowed teeth, crowded lower front teeth, bottom teeth picture, crowding pressure teeth, uneven front teeth after braces, fix teeth crowding, crowding braces, crowded teeth before and after invisalign, invisalign widen smile before and after, braces to widen smile before and after, braces overcrowding before after, teeth before and after, fixing crowded teeth, invisalign crowded teeth before and after, expander for teeth before and after, retainer for crowded teeth, adults braces before after, severe teeth overcrowding, teeth crowding near maineville, teeth overcrowding, braces adults before and after, invisalign before and after crowded teeth, overcrowded teeth, crowded teeth correction, crowding of teeth, future teeth before and after, crowded teeth treatment, crowded lower teeth, overly crowded teeth, expanders for teeth before and after, crowded bottom teeth before and after, how to correct crowded teeth, gap in teeth before and after, what are crowded teeth, braces crowding, can crowded teeth cause cavities, crowding of teeth treatment, braces bottom teeth before and after, teeth crowding braces, teeth braces transformation, overly crowded, invisalign vs braces for crowded teeth, overcrowding teeth child, overcrowding teeth treatment, front bottom teeth crowding, invisalign before and after severe crowding, invisalign crowded bottom teeth before and after, invisalign crowding and spacing, straighten overcrowded teeth, teeth crowding invisalign, are crowded teeth bad, jawline before and after braces, do teeth crowd with age, teeth feel crowded, mild overcrowding bottom teeth, teeth crowding symptoms, apiñamientos dentarios, crowding on bottom teeth, over crowded, how to fix crowding bottom teeth, overcrowded teeth pain, before and after teeth, crowded bottom teeth braces, zahnengstand, crowding in orthodontics, before and after braces adults, severe overcrowded teeth, teeth alignment before and after, wisdom tooth crowding, how do braces work for crowded teeth, how to fix teeth crowding, braces on crowded bottom teeth, inbrace before and after, contoh gigi crowding, small jaw crowded teeth, braces before and after missing teeth, lower front teeth crowding, orthodontic crowding, byte crowding before and after, why are my teeth overcrowded, very crooked teeth before and after, what does overcrowded teeth look like, teeth before after, do braces fix crowded teeth, how to know if your teeth are overcrowded, severely crooked teeth before and after braces, crowded oral maxilla, can braces fix overcrowded teeth, how to fix crowded bottom teeth, bottom teeth before and after braces, invisalign crowded bottom teeth, crowded front teeth before and after, severely overcrowded teeth, overcrowding braces, upper teeth crowding, how far apart should teeth be at rest, teeth smoothing before and after, crowding teeth bottom, overcrowded teeth before and after invisalign, anthony field teeth, gaps between teeth getting bigger, how long are bottom teeth, gappy teeth before and after, how to fix bottom teeth crowding, narrow arch teeth before and after, gap bands before and after, do teeth get more crowded with age, severe crowding teeth invisalign, can crowded teeth cause pain, do you need braces for crowded teeth, crowding teeth before and after braces, can braces cause bone loss, crowding and overbite, overcrowded tooth braces progress month by month, overcrowding teeth pain, what causes crowding in teeth, bottom teeth braces before and after, crowded tooth pain, teeth crowding pain relief, forward teeth before and after, apiñamiento dental, how to fix crowded teeth without braces, jaw surgery for crowded teeth, how long does it take to fix crowded teeth, what is tooth crowding, apiñamiento dental severo, do braces cause bone loss, adults with braces before and after, gap teeth braces before and after, apiñamiento dental en niños, bigger teeth before and after, severe crowding bottom teeth, invisalign jaw before and after, tipos de apiñamiento dental, скученность зубов у детей, gaps in teeth before and after braces, can crowded teeth be fixed without extraction, overlapping teeth before and after braces, crowding teeth causes, crowded teeth fix, how to fix overcrowding teeth, how do braces fix crowding, how to fix crowded teeth, getting crowded, best aligners for crowded teeth, crooked teeth before after, signs of overcrowded teeth, teeth spread apart, apiñamiento dental antes y despues, crowded teeth veneers before and after, teeth fixing before and after, before after teeth, before and after narrow palate, invisalign for severely crowded teeth, crowding teeth braces how long, bone loss from braces reddit, orthodontic treatment for crowding, crooked teeth before and after, gappy teeth before and after braces, crowded teeth kids, crowding teeth pain, crooked bottom teeth before and after, treatment of crowding in orthodontics, severe dental crowding, braces timeline pictures, pictures of teeth that need braces, crowded baby teeth, braces before and after gap teeth, why do teeth crowd, bone loss from braces, how long do you need braces for crowding, braces before and after jawline, moderate overcrowding teeth, extreme teeth crowding, crowding treatment, степени скученности зубов, mouth too small for teeth, how long do you need braces for crowded teeth, teeth growing together, teeth transformation braces, invisalign with crowded teeth, crowding orthodontic treatment, can overcrowded teeth cause pain, how do you fix overcrowded teeth, how to fix crowding teeth, how to stop teeth crowding, crowding in dentistry, upper crowding teeth, what causes teeth crowding, spaced teeth before and after braces, braces bone loss, do braces make your mouth bigger, transformation braces before and after, invisalign for crowded lower teeth, maloclusión dental, crowded teeth meaning, jaw bone loss pictures, overcrowded teeth extraction, pictures of expanders for teeth, kids teeth crowding, correct position of teeth, what is dental crowding, too many teeth condition, how to treat crowded teeth, dental overcrowding