One of the most common reasons people seek orthodontic treatment is to close gaps between their teeth. If you have noticeable gaps between your teeth, it might make you self-conscious and stop you from giving the world your most heartfelt smile. Here at Beverly Hills Orthodontics, we believe everyone deserves to show off their smile, and we’ll help you get the smile you love!
Having gap teeth can cause problems beyond your image and how your smile looks. Too much space between your teeth can lead to issues with functions like eating and speaking and can also be caused by gum recession. When you schedule an orthodontic consultation, we can help correct problems for better dental and overall health!
Gap Teeth Before and After Treatment at BHO
Here, we highlight two of our most recent success stories in this Gap Teeth Before and After Gallery. You can see how the expert team at BHO was able to reshape these smiles with orthodontic treatment.
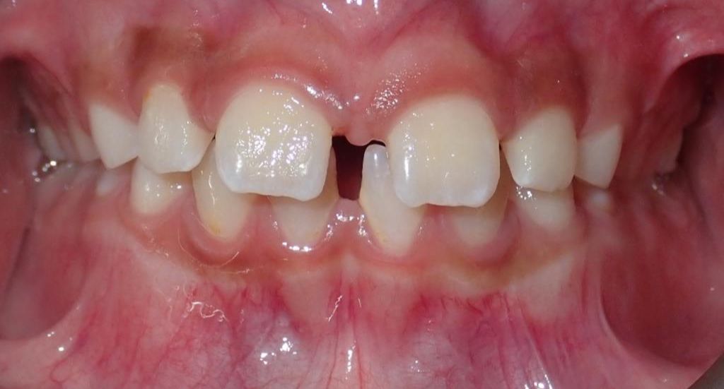
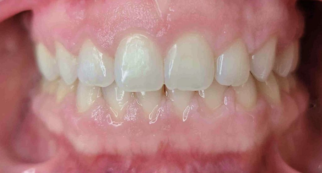
Patient 1
This patient came to us with concerns about the gaps between several of her teeth. After wearing Invisalign aligners, she now has a phenomenal smile with tight contacts and no gaps.
Before
After
Patient 2
This patient came in as a child consultation to begin interceptive orthodontics and alter the alignment of her teeth while she was still growing and her teeth were naturally shifting. We were able to use Invisalign as the only treatment intervention, and after her growth and gentle alignment, she now has a wonderfully straight and photogenic smile.
Before
After
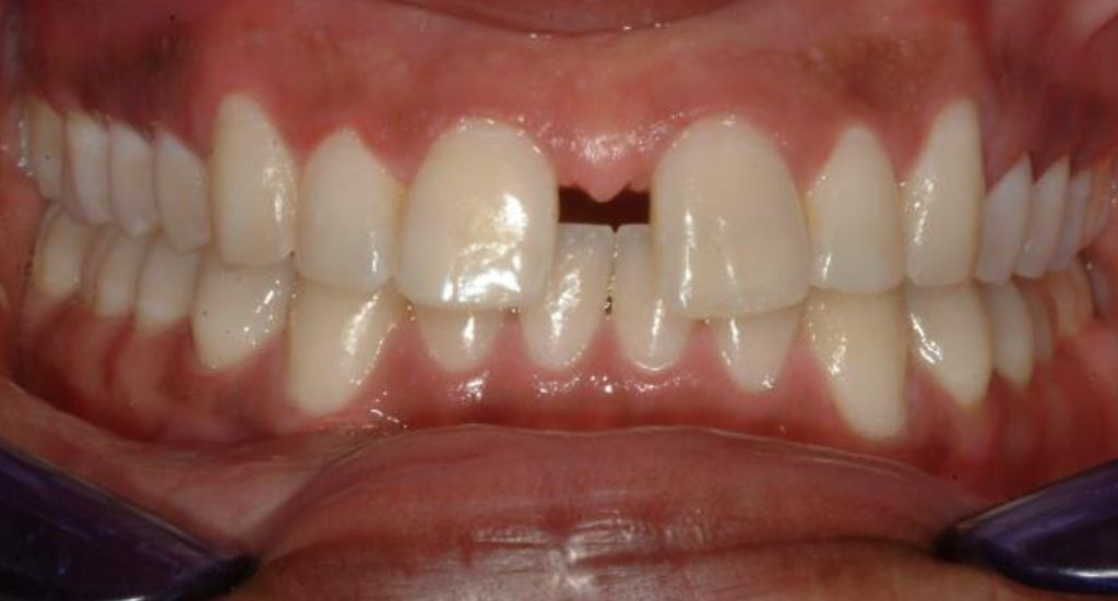
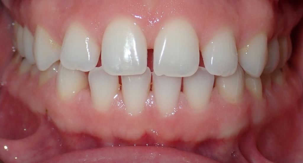
Patient 3
This patient came to us after previous orthodontic care and oral surgery to take the pressure off his gingival tissues (frenectomy). After his last treatment, the diastema (open space) between his front teeth opened back up, and he wanted to close it again. He used Invisalign aligners and we were able to close that space for him. He is very pleased with his smile and loves showing it off whenever he can!
Before
After
What Are Gap Teeth?
In a perfect bite, every tooth lightly touches the tooth next to it – this is called the “contact” or “contact area.” In some bites, if the contact is too tight, it can cause pain and create problems with oral hygiene when floss cannot pass between teeth. In other cases, the teeth don’t contact at all. This gap is called an “open contact.” Gap teeth happen for many reasons, some of which we list below:
Cause
Explanation
Genetics
Your genes play a significant role in how your jaw and teeth develop in childhood and adolescence. Some people have smaller teeth or wider jaw bones, which can create extra space.
Missing Teeth
If you were born without certain adult teeth (it’s more common than you’d think!), you probably see some extra space around the teeth that would have been neighbors to that missing tooth. Sometimes, there’s enough space for a surgeon to replace the missing tooth with a dental implant; when the space is too small, orthodontics may be able to close the gap.
Tight Gum Tissue
A small band of tissue (called the labial frenum) between your top and bottom front teeth connects your gums to your lips and helps stabilize and move the muscles in your mouth. Some clinicians believe When that connective tissue is too strong or tight, it puts extra pressure on the bone between the front teeth. This constant pressure can cause a wide space (diastema) between teeth. Without pressure-reducing surgery, the front teeth will spread back apart even after orthodontic treatment. There is debate around this being a causative factor.
Thumb-Sucking or Tongue-Thrusting
Extra pressure from your thumb or tongue can move teeth out of their natural position and may even change the shape of your jaw. This pressure can also spread teeth further apart and cause spaces to develop between them.
Here at Beverly Hills Orthodontics, we specialize in closing gap teeth and have worked on numerous cases since opening in 2008. With offices located in Beverly Hills, Downtown LA, Studio City, and Alhambra, everyone in the Los Angeles area can access the best orthodontic care available.
How Are Gap Teeth Treated?
Braces: Traditional orthodontic braces include metal brackets bonded to the teeth and connected by a metal archwire. The pressure from the wire on the brackets pulls the teeth into the correct position safely and effectively.
Invisalign: Clear aligners work via the same principle as traditional braces but exert force on the teeth with clear trays instead of brackets and wires. Invisalign offers many of the benefits of traditional braces without the common problems.
Surgery: In some cases, oral surgery may be necessary to move the jaw bones more drastically than other orthodontic measures allow for treating gap teeth. BHO has been involved in many surgical cases and can give you all the necessary details that apply to your case.
Gum Contouring: In cases with a strong labial frenum attachment, gum contouring can help loosen the connective tissue and reduce the force pulling on the front teeth. Gum contouring also has aesthetic value in reshaping the gums around teeth after the spaces have been closed.
Retainers: Once your teeth are in perfect alignment, retainers will help you keep them that way for life. There are many types of retainers to choose from, so ask your orthodontist about which style is right for you.
Why Should You Consider Orthodontic Treatment for Your Gap Teeth?
Improved Appearance. Some people are self-conscious about the extra spaces between their teeth. Orthodontic treatment can eliminate those spaces and give people a smile they love!
Better Function. Extra space between teeth, especially front teeth, can change the way you form words and sounds. Spaces between back teeth can affect your ability to eat and chew. Getting orthodontic treatment to close gaps between teeth can give you better functionality and make your life easier!
Prevent Future Problems. Having spaces between your teeth can get food trapped in that spot. Trapped food can lead to dental cavities and gum disease, which can turn into bone loss. By closing those gaps now with orthodontic treatment, you can prevent future problems from developing.
Beverly Hills Orthodontics Provides the Best Treatment for Gap Teeth in Los Angeles
Having spaces between your teeth can affect how you feel about your smile, but it can also cause more functional problems if not treated. With the cases selected above, you have seen a glimpse of the phenomenal work we do here at BHO. Our team of experts is ready to meet you and evaluate your teeth to develop a treatment plan as unique as you are! If you’re concerned about the gaps between your teeth, orthodontic treatment options include:
Gap teeth can often be corrected with orthodontics in 3-24 months. Schedule your consultation with BHO to develop a personalized treatment plan that meets your orthodontic needs and fits into your schedule.
Dr. Monica Madan is our founder and the lead orthodontist at BHO. As an Ivy League graduate, she keeps all our offices at the forefront of orthodontic treatment and knowledge. Dr. Madan is a Blue Diamond Top 1% Invisalign provider – one of only four in California – so you can be sure you are receiving the very best care available to close your gap teeth.
Want to get more before and after information about gap teeth? Call or text BHO at 310-785-0770 or visit our contact page to book a consultation and start your path toward a brighter smile.
NOTE: All blog content is intended to supplement—NOT REPLACE—the expertise of a healthcare professional and should not be construed in any way as medical advice. Consult a professional orthodontist directly, like the ones at BHO, to assess your individual needs and advise the best course of treatment.
We're Hiring! Contact Us for Details on Open Positions!
braces gaps before and after, gap with braces, do teeth gap bands work, gaps after braces, huge gap teeth, gap teeth bands, retainer for teeth gap, braces gaps before after, open teeth is called, gap between teeth braces, can a retainer close a small gap, diastema before and after braces, braces for gap in teeth, gapped tooth smile, braces for gap teeth, braces closing gap, teeth spacing, spaced teeth before and after braces, how do you get gaps in your teeth, gap teeth transformation, do teeth gaps close over time, teeth space, gap teeth clipart, before and after braces gap teeth, gapped teeth before and after, braces before and after gap teeth, invisalign before and after gaps, gap between front teeth after braces, gap teeth before and after, before and after invisalign gaps, braces on gap teeth, gap bands before and after, correct my gapped teeth, braces for gaps in teeth, gap between teeth treatment, singer with tooth gap, can retainer close gap, do retainers close gaps in teeth, before and after gape, closing gaps in teeth with braces, teeth gaps before and after braces, gap teeth veneers before and after, small teeth after braces, gap before and after braces, braces on gap, teeth gap braces, types of gap teeth, gaps before and after braces, teeth spaced apart, braces on teeth with gaps, gap teeth invisalign before and after, gap between teeth after braces, braces for closing gaps in teeth, how to reduce gap in teeth, gap in teeth after braces, gap teeth smile, teeth spaces, gap band teeth, teeth space treatment, close teeth gap, diastema before and after, aligners for teeth gap, can braces close a missing tooth gap, braces for gap in front teeth, front teeth gap before and after, gap teeth people, braces on gaps, closing gaps with braces, spaced teeth braces, teeth gaps after braces, can braces give you a gap, reduce gap between teeth, braces gaps, teeth aligners for gap, closing teeth gaps, huge gap teeth treatment, invisalign gaps before and after, braces close gap, braces for spaced teeth before and after, invisalign before and after gap teeth, gapteeth, teeth gap surgery, teeth bands for gaps, gap teeth bonding before after, beverly hills no gaps, palate expander before and after gap, braces with gap teeth, braces to close gap in teeth, do braces close gaps, gap tooth, men with gap teeth, retainer for gap in teeth, gap teeth before and after invisalign, gap teeth after braces, how long does it take to close a small gap with braces, how long will braces take to close gaps, can retainers close gaps after braces, space between teeth after braces, gap braces before and after, braces gaps between teeth, how long does it take to close spaces with braces, braces on small teeth before and after, no gap dental beverly hills, gap in my teeth, gapped teeth before and after braces, big teeth gap, can braces close a gap in front teeth, beautiful teeth gap, people with gaps between their teeth, teeth gap, how to close the gap in my teeth, before after gape, open gate teeth, gap braces, braces for spaced teeth, before and after orthodontics stories, retainer to close gap, types of braces for gap teeth, can braces close missing teeth gap, braces created a gap in my teeth, before and after braces gaps, closing gaps in teeth without braces, gaps in teeth before and after braces, gaps between bottom teeth, teeth gap before and after braces, gap in front teeth after braces, gap.teeth, can retainer close small gap, gap teeth braces before and after, invisalign gap teeth before and after, beautiful gap teeth, how fast do braces close gaps, braces for gap, gapped teeth treatment, high canine teeth before and after braces, black guy with a gap in his teeth, open teeth smile, small gap in front teeth after braces, before and after braces gap, gap coming back after braces, retainer causing gap in front teeth, braces before and after gap, can braces close a gap, spacey teeth, braces teeth gap, gap teeth machine, braces for a gap, braces closing gaps, close gap in teeth, gap tooth model, gap between teeth with braces, space in teeth after braces, gapped tooth, spaced teeth, teeth gap smile, gap bottom teeth, gap closers teeth, gap teeth braces before after, orthodontist specializing in gapped teeth, gaps between teeth after braces, gap between teeth, closing gaps with braces how long, braces for teeth gap, gap band for teeth, big gap teeth, gapped teeth, gaps in teeth with braces, diastema closure before and after, does retainer close gaps, do retainers close gaps after braces, gaps in your teeth, will a retainer close a gap after braces, gap on teeth braces, gapped teeth smile, tooth gap braces, can retainers close small gaps, gaps in teeth before and after, how long to close gaps with braces, can gap teeth be fixed, retainer fix gap front teeth, gap smile, spaces between teeth after braces, smile with gap, why did braces give me a gap, braces with missing teeth before and after, teeth gaps before and after, invisalign spaced teeth before and after, do braces give you a gap, teeth gap treatment, when will my gap close with braces, gap teeth before and after braces, gap.tooth, does retainers close gaps, small gap in teeth after braces, braces to close gap, teeth gap bands before and after, gap teeth aligners, teeth with gaps before and after braces, invisalign spacing before and after, tooth gap, smile beautiful gap teeth, closing teeth gap with braces, bottom teeth gap, can teeth gaps close naturally in adults, before and after braces with gap, spaces in teeth after braces, teeth band for gap, do braces close gaps in teeth, why did my braces give me a gap, teeth gaping after braces, fixing gaps in teeth los angeles, braces gave me a gap, braces front teeth gap, still have gaps after braces, will retainer close gap, gap teeth with braces, can you still have gaps after braces, gap toothed smile, retainer to close gap in front teeth, braces before and after gaps, braces for gaps before and after, before and after teeth gap, bands to close gap in teeth, gap between retainer and teeth, having a gap, handsome guys with gap teeth, gap in teeth braces, gap teeth in your mouth so my, will a retainer close a gap, spaces between teeth after cleaning, how long does it take for braces to close a gap, why do i have a gap in my teeth with braces, gapped teeth braces, gap teetg, why am i getting spaces between my teeth, gap beverly hills, woman with gap teeth, teeth band gap, what does invisalign look like on gapped teeth, teeth spread apart, braces gap teeth before after, how long do gaps close with braces, invisalign for gaps before and after, man with gap teeth, will retainers close teeth gap, people with gaps, invisalign gap before and after, close gaps in teeth, gap teeth sign of beauty, retainers to close gaps in teeth, gappy teeth treatment, braces with a gap before and after, teeth braces for gap, retainers for gap teeth, gap teeth woman, gap in the teeth, how do braces close gaps, invisalign before after gap, small teeth with gaps, gap tooth braces, braces gap, will my teeth gap close, how long braces close gap, bottom gap teeth, aligners for teeth before and after, if you have gaps do you need braces, gap tooth surgery, bottom teeth gaps, braces with a gap, white person with gap in teeth, braces with gapped teeth, i love the gap between your teeth, open teeth, braces to close gap from missing tooth, braces causing gaps, gap on bottom teeth, tooth gap after braces, gaps after invisalign, do retainers close gaps, girls with gap teeth, before and after braces teeth gap, teeth gap after braces, love gap teeth, can braces close gap teeth, gap-toothed smile, gap tooth before and after, teeth gap before and after, gappy teeth, why do people have gap teeth, gap between teeth before and after, gap in bottom teeth, braces for teeth with gaps, gap before and after, gapped teeth after braces, people with teeth gap, gap after braces, gapped bottom teeth, teeth gap before after, front teeth gap after braces, how long for braces to close gap, can i get braces without closing my gap, wide gap teeth, gap between teeth after cleaning, before and after braces small teeth, teeth gap cover, open gap teeth, gap tooth people, how long do braces take to close gaps, diastema after braces, people with a gap in their teeth, small gap tooth, braces gap before and after, gaps on bottom teeth, too much gap between teeth, braces transformation gap, gaps in teeth during braces, huge gap in front teeth, gap in teeth with braces, gaps in teeth braces, closing gap in teeth, tooth gap before and after, gap teeth man, braces on gapped teeth, how long does it take to close a tooth gap, retainer for gap teeth, teeth spacing after braces, gaps in bottom teeth after cleaning, gaps in teeth after braces, braces for teeth gaps, gap tooth trend, can a retainer close a gap, large gap in front teeth, gap teeth beauty, before and after gap teeth, how long does it take for braces to close gaps, braces for diastema, braces to close missing tooth gap, gappy teeth before and after, gap from braces, treatment for tooth gap los angeles, braces with gap, braces with a small gap, teeth gap filling before and after, braces for gapped front teeth, gapped teeth with braces, invisalign before and after gap, gaps braces before and after, teeth gap braces before and after, can braces close gaps, smile with gap teeth, tooth bands for gaps, braces for gaps, gap in tooth after braces, how long does it take to close gaps with braces, front teeth gap braces, do retainers close small gaps, gappy teeth before and after braces, after braces gap in teeth, gap tooth smile, braces gap teeth, gaped teeth, gap in teeth before and after, person with gap in teeth, teeth gap with braces, gap front teeth after braces, people with gap teeth, parted teeth, close a gap in teeth, tiny gap between front teeth, braces to close gaps in teeth, gap between bottom and top teeth, front teeth gap filling before and after, gap teeth braces, braces for front teeth gap, can retainers close gaps, braces for gapped teeth, gaps with braces, how to close a gap without braces, closing spaces with braces, invisalign before and after gapped teeth, space in teeth, gap between teeth and retainer, small teeth braces before after, gap before and after invisalign chewies, frenectomy before or after braces, why is there a gap in my teeth after braces, teeth before and after braces, small gapped teeth, small teeth before and after braces, gap-toothed grin, frenectomy before and after gap, pretty beautiful gap teeth, how do gaps close with braces, split teeth, black guy with gap in his teeth, teeth with gaps after braces, can retainers close gaps without braces, girl with gap teeth, teeth gap aligners, small gap after braces, gap teeth retainer, retainers for teeth gap, why is my gap not closing with braces, gapped front teeth, gap bands for teeth, frenectomy before braces, riverside no gap dental reviews, gap closer for teeth, braces before and after small teeth, gaps bottom teeth, facts about guys with gap teeth, man beautiful gap teeth, gap in teeth after invisalign, can retainers fix gaps, braces progress gap, surgery for gap in teeth, braces for gap teeth duration, gap teeth surgery, will my retainer close my gap, how long do gaps take to close with braces, invisalign close gap front teeth, how long does a gap take to close with braces, why is there a gap in my teeth with braces, gap tooth or gap teeth, small gap between front teeth after braces, huge gap in teeth, spacing teeth braces, teeth gaps braces, model gap tooth, will retainers close gaps, how to close gap teeth without braces, why are my teeth spreading apart, teeth gap is lucky, can you get braces for a gap in your front teeth, teeth bands to close gaps, are teeth gap bands safe, teeth spacing with braces, how long does it take for a gap to close with braces, braces with gaps, braces with tooth gap, how to close gaps in your teeth without braces, no gap smiles, teeth braces gap, braces to close gaps, gap teeth attractive, why are my braces causing a gap in my front teeth, no gap beverly hills, ortho bands for gaps, treatment for gap teeth, gap teeth girl, how long do braces take to close a gap, ant teeth close up, gab teeth, wearing invisalign gap teeth, why does my gap keep opening after braces, how long would braces take to close a gap, gap between top and bottom teeth, spaced teeth treatment, teeth braces for teeth gap, invisalign for gap in front teeth, gap teeth men, guys with gap teeth, space between top and bottom teeth, can braces cause a gap in your front teeth, beautiful gap, how braces work on gap teeth, do retainers fix gaps, braces on front teeth, expander gap before and after, braces with gap in teeth, gap teeth bottom, skinny teeth with gaps, gap closing teeth, gap teeth pictures, gap mouth, do retainers help close gaps, how to fix a teeth gap without braces, gap teeth treatment, gap after invisalign, braces cases before and after, why are my braces giving me a gap, do braces close big gaps, tooth gap with braces, gap forming between front teeth, byte gap before and after, how long does a tooth gap take to close with braces, braces before and after big front teeth, big teeth gaps, invisalign with gap teeth, can braces close gaps between teeth, gap in teeth, braces on spaced teeth, gapped smile, how to close gap in teeth without braces, gal teeth, how long do braces take for gaps, spaced teeth before and after, braces teeth before and after, braces to fix gap in front teeth, how do braces work to close gaps, front teeth braces before and after, gap theeth, gap teeth., invisalign gap front teeth, teeth gap closing, closing gaps with invisalign, how long does a gap close with braces, why are my teeth gapping with braces, closing gap with braces, space teeth, why are my braces causing gaps, does retainer close teeth gap, does braces close gaps, can retainers close small gaps after braces, can braces cause gaps in teeth, spaces in teeth, space between aligners and teeth, clear aligners for gap teeth, invisalign before and after teeth gap, best braces for teeth gap, gaps after braces removed, i have a gap in my bottom teeth that wasn t there before, gaps between teeth after invisalign, people with gapped teeth, gap teeth black man, braces close gaps, teeth before after, gap in teeth lucky, can my retainer close my gap, big gap teeth braces, how long does it take braces to close a gap, beautiful girl with gap teeth, phase 1 braces before and after, big gaps in teeth, gap month by month braces progress, wide tooth gap, how long do braces last for gaps, gap on teeth, teeth gap closer, how long does it take for a gap to close, why did braces give me a tooth gap, before and after celebrities with gap teeth, reduce teeth gap, crooked front teeth before and after braces, how to close space between teeth, gaps teeth, how to get rid of a gap in teeth, how long do you have to wear braces to close a gap, how long does it take to close gap with braces, toosii teeth gap, tooth gap smile, i have a gap in my teeth that wasn t there before, supermodel with gap in teeth, separated teeth, people with gaps in their teeth, spread apart teeth, large gap teeth, gap in front teeth invisalign, what time does the gap close, gap teeth and braces, braces giving me a gap, lingual braces for gapped teeth, over gap teeth, spaces after braces, dientes separados con brackets antes y despues, will braces close my gap, cause i love the gap between your teeth, space teeth braces, bands to close gaps in teeth, gap between incisors, do braces close front teeth gaps, gap in my teeth after braces, muscle between front teeth, teeth with gap, closing a gap in front teeth, aligners to close gaps, close gap teeth, man with gap in teeth, braces for teeth gap in front, big front teeth before and after braces, can a gap close on its own, braces teeth gap front, braces space between teeth, pictures of gap teeth, do guys like gap teeth, gap between front teeth, how long does it take for a tooth gap to close naturally, teeth gap trend, big teeth with gap, pretty gap teeth, madonna gap teeth before and after, close gap in teeth without braces, how does invisalign look with a gap, why is my gap getting bigger with braces, how long does it take for a gap in your teeth to close with braces, are teeth gaps attractive, no gaps beverly hills, gap between top and bottom teeth after braces, closing extraction gaps with braces, tooth gap surgery, can braces fix gapped teeth, gap closing braces, big tooth gap, gaps in bottom teeth, can braces fix gaps in teeth, gap in front teeth trend, do braces fix gaps, how fast can a tooth gap develop, do braces close gaps between teeth, gap in front teeth name, do braces fix gap teeth, do braces fix gaps in your teeth, do retainers fill gaps, do braces make gaps in your teeth, gaps in teeth, big gap in teeth, do braces fix gaps between teeth, gaps on teeth, how much to close gap in front teeth, retainer gap front teeth, people with a gap, i like the gap between your teeth, people with teeth gaps, gap treatment, can braces fix gaps, spacing teeth before braces, closing gaps between teeth, orthodontic treatment for spacing teeth, do braces fix teeth gaps, big gap between teeth, braces to close gap in front teeth, gaps in front teeth, actors with gap teeth, can braces fix the gap in my teeth, before and after teeth with braces, 2 teeth extracted for braces how long to close gaps, can braces fix a gap, space in front teeth, do braces help gap teeth, large gap between teeth, large gap in teeth, teeth gap filling with braces, braces to fill gaps in teeth, wide front teeth, space between teeth after invisalign, braces on teeth before and after, how do braces fix gaps, why am i getting a gap in my front teeth with braces, people with gap in front teeth, invisalign gap in front teeth, braces to close front teeth gap, braces making gaps in my teeth, what is gap teeth, wide gaps between teeth, can teeth gaps close naturally, huge gaps between teeth, can retainers fix teeth gaps, overbite and gap teeth, gap in side teeth, retainer gap, can a tooth gap close naturally, can you get braces to close a gap, is gap teeth a sign of beauty, gaps in the teeth, can a retainer fix a gap, holes in teeth after braces, can braces fix gaps between teeth, large teeth gap, closing a gap with braces, is it normal to get a gap in your teeth with braces, do braces get rid of gaps, gap between front teeth braces, can retainers help close gaps, closing gaps in teeth, front teeth gap invisalign, teeth with a gap, does a retainer close gaps, gap between the front teeth, gaps in my teeth, how much to fix a gap in teeth, best braces for gap teeth, new gap in front teeth, does braces fix gaps, gap between all teeth, gaps between teeth after cleaning, large gaps between teeth, braces for gaps between teeth, can a retainer fix a small gap, gap in teeth after braces removed, why are my teeth spacing apart, aligners for gap teeth, can braces fill gaps, how long does it take gaps to close with braces, can braces fix spaced teeth, do braces get rid of gaps in teeth, closing gaps braces, big gaps between teeth, gap in teeth model, gap teeth braces how long, gap in front teeth treatment, braces for small gaps, forward teeth before and after, treatment of teeth gap, braces to widen smile before and after, tooth gap coming back after braces, smile gap teeth, how long does it take to close a gap with braces, front teeth gap, partial braces before and after, spaces for teeth, small teeth before and after, do braces cause gaps in teeth, after gap, how long does it take to close front teeth gap with braces, braces before and after missing teeth, gap in front teeth, gaps between every tooth, people with gap, gap bands teeth, big teeth braces before and after, men with gaps, small gap teeth, veneers for gaps before and after, can braces fix teeth gap, how long will it take for my gap to close with braces, spacing between teeth, how long does it take to close a tooth gap with braces, gap on the teeth, metal braces for gap teeth, food gap in teeth, gap on front teeth, can braces fix gap teeth, sudden gap between front teeth after braces, braces that close gaps, gap vs no gap teeth, space between teeth called, middle teeth gap after braces, braces causing gap in front teeth, teeth spacing correction, teeth gap braces time period, teeth gaps, gap between teeth la