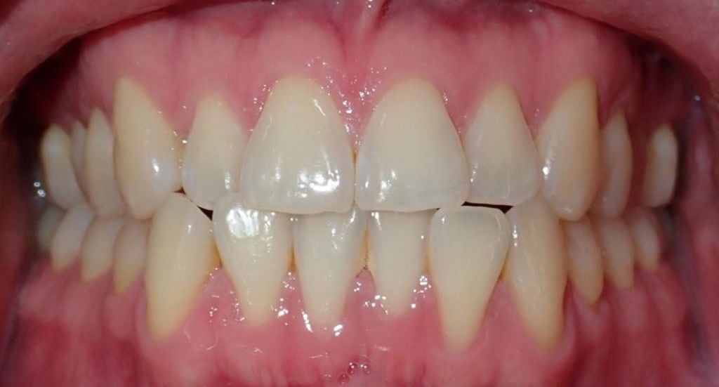
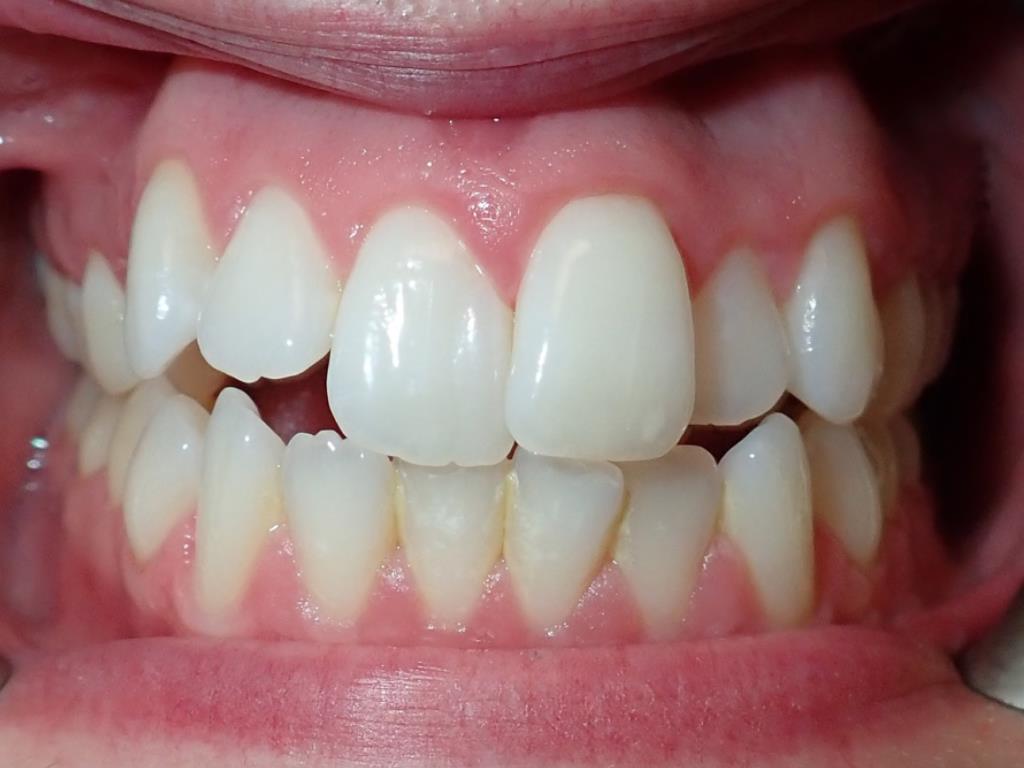
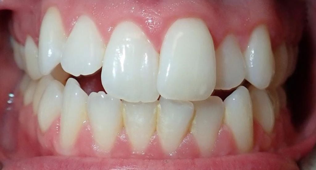
In a normal bite, the top teeth overlap the bottom teeth and rest closer to the cheeks, while the bottom teeth are positioned closer to the tongue. A crossbite is a common form of malocclusion where this is reversed, and either the top teeth are angled inward toward the tongue, or the bottom teeth are pointed outward toward the cheeks. This can cause more pressure than normal on individual teeth leading to other problems.
Crossbites can manifest in two main ways:
- Anterior (Front) Crossbite: The most noticeable type of crossbite because it involves the front teeth where other people can see when you smile. Anterior crossbite can include just one tooth or several teeth.
- Posterior (Back) Crossbite: Posterior crossbites aren’t as noticeable when a person smiles but can cause many other problems and still need to be fixed. These misalignments involve the back teeth and can also include just one or several teeth. Posterior crossbites are common when one jaw bone grows more or faster than the other.
Crossbites can cause issues beyond appearance, including chewing difficulties, tissue trauma, tooth damage, and pain from uneven pressure on your joints. Treatment by an orthodontist can help you decide how and when to address these issues.
Beverly Hills Orthodontics (BHO) has corrected countless mild-to-severe crossbite cases across Los Angeles since we began operations in 2008. With locations in Beverly Hills, Downtown LA, Studio City, and Alhambra, Dr. Monica Madan and the BHO team use Invisalign, braces, and other measures to eliminate crossbites and provide patients with flawless smiles.