Skip to content
  • Call / Text (310) 785-0770
  • Payment Calculator
  • Blog
  • Shop
  • In The Press
Before & After
free consult
  • Call / Text (310) 785-0770
  • Payment Calculator
  • Locations
  • Blog
  • Shop
  • In The Press
Before & After
free consult
BHO White Logo
  • Our Practice
    • Who We Are
    • What Sets Us Apart
    • Meet Our Team
    • Meet The Doctors
    • Advanced Technology
    • In The Press
    • Patient Reviews
    • Community Events
  • What We Do
        • Invisalign®
          • About Invisalign
          • Invisalign For Kids
          • Invisalign for Teens
          • Invisalign For Adults
          • Invisalign FAQ
        • Braces
          • Types Of Braces
          • Braces For Kids
          • Braces For Teens
          • Braces For Adults
          • Braces for Seniors
          • Braces FAQ
        • Other Treatments
          • Accelerated Orthodontics
          • Zoom Teeth Whitening
          • Retainers
          • Phase One Orthodontics
          • Family Orthodontics
  • Resources
    • Your First Visit
    • Virtual Consult
    • Refer a Patient
    • Overseas Patients
    • Financial Information
    • Orthodontic FAQ
    • Before & After
    • The BHO Edit - Explore Our Blog
    • Emergency Orthodontics
    • Shop
  • Contact
    • Contact Info
    • Careers
    • Beverly Hills
    • Downtown Los Angeles
    • Studio City
    • South Pasadena/Alhambra
  • Before & After
  • Free Consult
BHO White Logo
  • Our Practice
    • Who We Are
    • What Sets Us Apart
    • Meet Our Team
    • Meet The Doctors
    • Advanced Technology
    • In The Press
    • Patient Reviews
    • Community Events
  • What We Do
    • Invisalign®
      • About Invisalign
      • Invisalign For Kids
      • Invisalign for Teens
      • Invisalign For Adults
      • Invisalign FAQ
    • Braces
      • Types Of Braces
      • Braces For Kids
      • Braces For Teens
      • Braces For Adults
      • Braces for Seniors
      • Braces FAQ
    • Other Treatments
      • Accelerated Orthodontics
      • Zoom Teeth Whitening
      • Retainers
      • Phase One Orthodontics
      • Family Orthodontics
  • Resources
    • Your First Visit
    • Virtual Consult
    • Refer a Patient
    • Overseas Patients
    • Financial Information
    • Orthodontic FAQ
    • Before & After
    • The BHO Edit – Explore Our Blog
    • Emergency Orthodontics
    • Shop
  • Contact us
    • Contact Info
    • Careers
    • Beverly Hills
    • Downtown Los Angeles
    • Studio City
    • South Pasadena/Alhambra
  • Call / Text (310) 785-0770
  • Locations
  • Payment Calculator
  • Blog
  • Get $1,000 Off
GET $1,000 OFF
  • Facebook
  • Instagram
  • List Item
  • YouTube
  • List Item

Deep Bite Before and After

Having a great smile is so much more than an excellent way to communicate. A great smile can make you feel happier, more outgoing, and even add health benefits you might not have considered. The position of your teeth also affects the shape of your face, your airways, and your ability to speak, eat, chew, and breathe. A deep bite can affect all of these functions and could also lead to pain and problems.

The good news is that deep bites can be easily corrected with excellent orthodontic treatment!  At Beverly Hills Orthodontics, we can help you get the smile you’ve always wanted - and it will also enable you to look and function your best.

Deep Bite Before and After Treatment at BHO

These different orthodontic treatment options can improve your deep bite. Take a look at the patients in our Deep Bite Before and After Gallery, featuring three of our most recent cases.

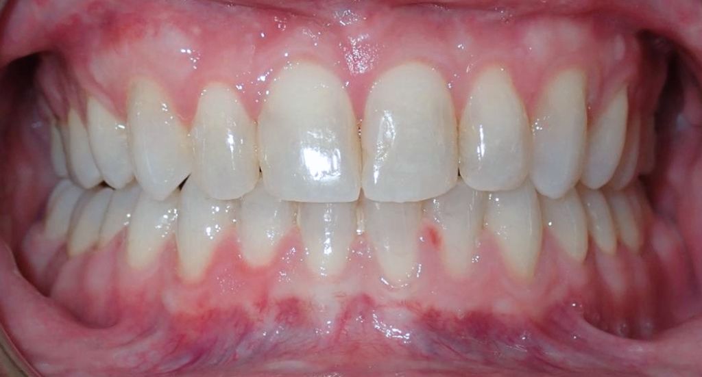
Patient 1

This patient is from a recent surgical case BHO got to be involved in! He came to us hoping to fix his overbite and very deep bite. You can see from his photos how vaulted (deep) the roof of his mouth is. That affects not only his bite but possibly also his sinuses and breathing. To correct his bite, this patient started with Invisalign. He had bonded braces placed to help guide his teeth while he was recovering from oral surgery.

From start to finish his treatment included aligners, surgery, recovery time, and retainers. Which gave him a better shape to his palate (roof of his mouth), a better smile, and a better profile. He was thrilled with these results!

Before

deep-bite-before-patient-1-2
deep-bite-before-patient-1-1

After

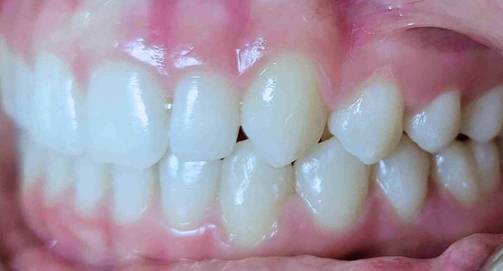
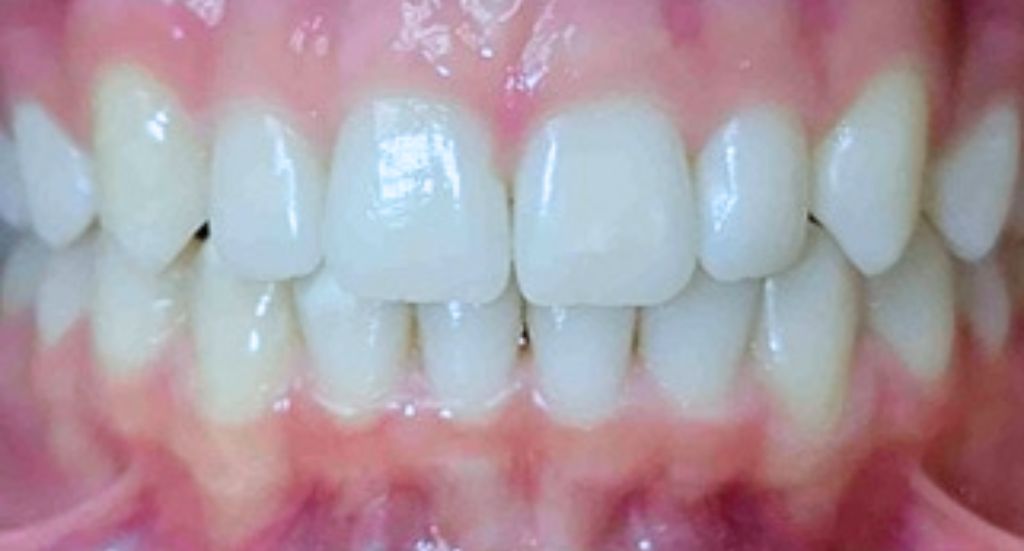
Patient 2

When this patient came to us, she was concerned about her “gummy smile.” We were able to correct her bite using only Invisalign aligners. She now has a smile as beautiful as she is!

Before

deep-bite-before-patient-2-2
deep-bite-before-patient-2-1

After

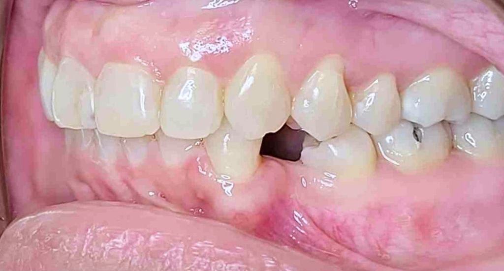
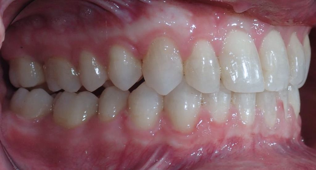
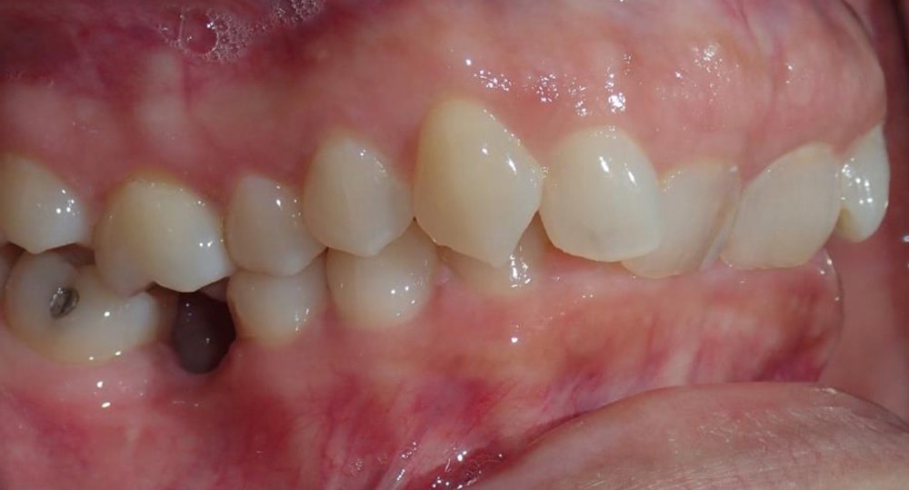
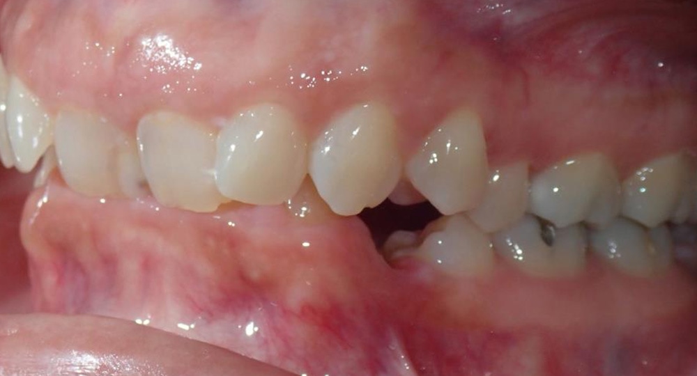
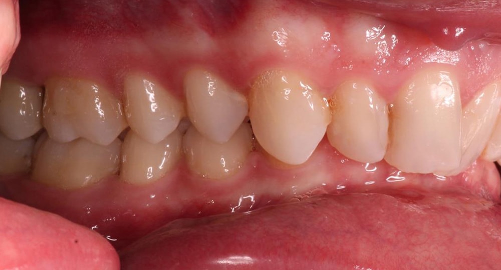
Patient 3

When this patient came to see us, her main concern was to either close the space from her two missing teeth or correct her deep bite around those spaces so she could get dental implants to replace them in the future.

Because the spaces were large, we decided to give her an award-winning smile now by straightening her other teeth while also making space for future implants. This patient was in Invisalign aligners which allowed us to correct her deep bite, make room for future implants, and give her a phenomenal smile!

Before

deep-bite-before-patient-3-front
deep-bite-before-patient-3-1
deep-bite-before-patient-3-3

After

What Is a Deep Bite?

In an ideal bite, the top teeth just barely cover the edges of the bottom teeth. In cases where the person has a deep bite (also called an overbite or sometimes a “closed bite”), the top teeth significantly overlap the bottom teeth. Deep bites vary in severity, but the bites with the most overlap are called “impinging” because the front teeth can actually end up biting into the gums of the opposite arch. A deep bite can happen because of:

  • An underdeveloped lower jaw. If the lower jaw develops more slowly than the upper jaw, the teeth won’t contact in the correct position. This can lead to tooth trauma and fractures over time.
  • Pacifier use and thumb-sucking. Using a pacifier, or sucking on thumbs or fingers to self-soothe for too long during childhood can change the roof of a person’s mouth, giving it a deeper, more vaulted shape while also changing the angle of the front teeth. This can affect both a person’s bite and their sinuses and can lead to pain and breathing problems.
  • Tongue thrusting. The repeated pressure on the teeth from a tongue thrust can push the front teeth forward and out of position. This can cause speech problems and difficulties chewing along with a deep bite.
  • Tilted teeth. All teeth lean slightly toward your tongue. If teeth have too large of a tilt, either in toward the tongue or out toward the lips/cheek, the misalignment can cause problems like a deep bite. 

Since starting in 2008, Beverly Hills Orthodontics has corrected several cases of mild-to-impinging deep bites. Dr. Monica Madan and the BHO team use the most current treatments like Invisalign, braces, and other measures to correct deep bites and provide patients with healthy, happy, smiles.

How We Treat Deep Bites

Invisalign: This system of clear aligner trays gently corrects patients’ bites with the same benefits as braces but without common downsides.

Braces: Bonded braces include metal brackets attached to the tooth with an archwire connecting the brackets and providing gentle pressure to move the teeth.
Expanders: Palatal expanders sit across the roof of the mouth and evenly apply force to the inside surface of teeth, which gradually moves the teeth further apart, creating a wider upper jaw.
Surgery: In some more severe cases, surgery may be required to get the jaw bones into the correct position. BHO has connections with excellent oral surgeons

Why Should You Consider Orthodontic Treatment for Your Deep Bite?

  • Enhanced Function: Having a deep bite can affect your speech and chewing abilities. By correcting your bite, you can improve these functions.

  • Prevent Dental Issues: A deep bite can result in problems like tissue and tooth trauma, along with possible complications of TMJ. By getting orthodontic treatment now, you can avoid problems in the future.

  • Increased Comfort and Pain Reduction: If your bite is deep enough that your teeth touch your gums, you might find yourself in constant pain. Having an improper bite can also cause headaches and jaw pain that can all be corrected by orthodontics.

  • Improved Aesthetics: A deep bite is sometimes called a “gummy smile” because you can see more of someone’s gums when they smile or speak. If you have a “gummy smile” and don’t love it, orthodontic treatment can move your teeth into position to be the main focus!

Beverly Hills Orthodontics Provides the Best Deep Bite Treatment in Los Angeles

Having a deep bite can negatively affect your self-esteem if you are not pleased with how your smile looks. But it can also lead to other health problems like tissue trauma, dental trauma, pain, and even breathing issues. After seeing how BHO was able to straighten out the deep bites in these cases, you can start to imagine what the expert team at BHO could do for you!

For deep bite, orthodontic treatment options include:

  • Invisalign
  • Braces
  • Expanders
  • Surgery

Call the experts at BHO to schedule a consultation and see what we can do for you to get you the smile you deserve in as little as 12-24 months!

Dr. Madan is an Ivy League graduate and a Blue Diamond Top 1% Invisalign provider – one of only four in California – so you can be sure you’ll receive the best treatment for all of your orthodontic needs. Beverly Hills Orthodontics has offices in Beverly Hills, Studio City, Alhambra, and Downtown LA, so we are accessible to nearly all residents of Los Angeles County.

Want to get more before and after information about deep bites? Call or text BHO at 310-785-0770 or visit our contact page to book a whitening appointment and set yourself on the path toward a brighter smile.
NOTE: All blog content is intended to supplement—NOT REPLACE—the expertise of a healthcare professional and should not be construed in any way as medical advice. Consult a professional orthodontist directly, like the ones at BHO, to assess your individual needs and advise the best course of treatment.
Happy Girl

Get Started Today

Ready to transform your smile?

Request Free Consult
Special Offer

$1,000 Off Invisalign or Braces

Get Started

patient reviews

Enjoy our 5-star experience.

We are thankful for the opportunity to serve our communities with the highest quality care. Check out what our patients are saying about their 5-star experience with us!

smiling-beautiful-girl-her-handsome-boyfriend-casual-summer-clothes-web
Paloma G.
I cannot say enough wonderful things about Dr. Monica and the team at Beverly Hills Orthodontics. After an accident, smiling confidently again felt so far away, and I am beyond grateful to have found her. Dr. Monica is not only incredibly talented and detail oriented, but also one of the kindest and most caring doctors I have ever met. She took the time to understand my situation, made me feel comfortable every step of the way, and truly treated me with so much compassion. She has helped me feel excited and happy to smile again, which is something I do not take for granted. Her work has made such a meaningful difference in my confidence and daily life. Thank you, Dr. Monica, for everything you have done for me. Five stars truly do not feel like enough ⭐⭐⭐⭐⭐
Response from the owner:Thank you for your positive feedback! We are thrilled to hear that you had a great experience with us. Your satisfaction is our priority, and we look forward to serving you again in the future.
Michael F.
Lovely people. Totally professional and top-notch facilities. Even though my particular issue would require a different specialist, they referred me to a great one, and Dr Madden was every bit as fantastic as I’d heard she was. Empathetic and insightful. I will come back here when my kids need braces for sure.
Response from the owner:Thank you for your thoughtful review, Michael! We're delighted to hear about your positive experience and appreciate your kind words about our team and facilities. We look forward to welcoming you all in the future!
Ryan C.
I recommend BHO if you want premier Invisalign treatment along with a strong connection with the people that help treat you.

I’ve been with BHO for around two and a half years now, and the amount of progress I’ve made in my bite is astounding. I wish I could attach photos, but I started off with a bite that looked like if you combined the worst parts of a crossbite and underbite, and then doubled the severity.

However, now I’m nearly done, and find that I when I smile and look in the mirror, I am genuinely happy at what I see. Dr. Madan is a great orthodontist without doubt, but also I believe equally as good in quality of character. The relationship between client and provider in any sort of medical service is paramount, and whenever I’ve brought up my concerns to her she’s answered wholeheartedly.

Once again, if you have any orthodontic issues - crooked teeth, gaps, or most importantly with your bite, then BHO won’t let you down.
Response from the owner:Thank you, Ryan, for your wonderful review! It’s fantastic to hear about your remarkable progress and your positive experience with Dr. Madan. We’re committed to building strong relationships and ensuring every smile shines bright!
Cindy M.
Dr. Madam along with her whole team are amazing! Very patient and attentive, always welcoming and making the Invisalign journey a pleasant experience
Response from the owner:Thank you, Cindy! We're thrilled to hear that you had a positive experience with Dr. Madan and our team. Your satisfaction is our priority, and we look forward to continuing your Invisalign journey!
Chelsea C.
Went in for a free consultation. I saw Dr. Serena and Angela who helped answer all my questions. The staff that took my scans were also very nice and friendly!
Response from the owner:Thank you for your wonderful review, Chelsea! We're thrilled to hear that Dr. Serena and Angela addressed all your questions and that our staff made your visit enjoyable. We look forward to seeing you again!
read more reviews
come visit us

We can’t wait
to see you soon!

  • BEVERLY HILLS
  • 2080 Century Park E #505
    Los Angeles, CA 90067
  • DOWNTOWN LA
  • 740 S. Olive St. Unit 105
    Los Angeles, CA 90014
  • STUDIO CITY
  • 10751 Riverside Dr.
    Toluca Lake, CA 91602
  • ALHAMBRA
  • 320 S. Garfield Ave. Suite 306
    Alhambra, CA 91801
Alhambra

Studio City

Downtown LA

Beverly Hills

Sign up for our Newsletter!

Keep up to date on everything Beverly Hills Orthodontics is doing with our patients and the community!

[ctct form="16980" show_title="false"]
Footer logo

QUICK LINKS

  • Our Practice
  • What We Do
  • Patient Resources
  • Contact Us
  • In The Press
  • Our Practice
  • What We Do
  • Patient Resources
  • Contact Us
  • In The Press

CONTACT US

  • Locations
  • Beverly Hills
  • Downtown LA
  • Studio City
  • Alhambra
  • Call/Text (310) 785-0770

FOLLOW US

  • Facebook
  • Instagram
  • Twitter
  • YouTube
  • Yelp

CONTACT HOURS

Monday8:00am – 6:00pm
Tuesday8:00am – 6:00pm
Wednesday8:00am – 6:00pm
Thursday8:00am – 6:00pm
Friday8:00am – 6:00pm
Saturday8:00am – 4:00pm
Request Free Consult

© Copyright 2026 Beverly Hills Orthodontics | Sitemap | Privacy Policy | Notice of Privacy Practices | Accessibility 

We're Hiring! Contact Us for Details on Open Positions!

Apply Now

incisor, risk, jaw, patient, mouth, tooth, mandible, gums, dental braces, malocclusion, injury, orthognathic surgery, therapy, temporomandibular joint, clear aligners, orthodontics, periodontal disease, retainer, headache, thumb sucking, bruxism, tooth loss, palate, maxilla, tooth decay, tooth wear, chewing, occlusion, overjet, tongue, pacifier, surgery, tissue, tooth enamel, wear, relapse, thumb, gingival recession, excessive overbite, permanent teeth, biting, orthodontic technology, metal, environmental factor, nail biting, hygiene, arch, american association of orthodontists, infection, oral hygiene, anesthesia, overbite, molar, orthodontic headgear, root canal, rubber band, lip, joint, breathing, recession, crossbite, anterior teeth, angle, roof, genetics, disease, pain, height, veneer, cosmetic dentistry, chin, pressure, extrusion, curve of spee, tooth eruption, palatal expansion, tongue thrust, quality of life, posterior teeth, cephalometry, soft tissue, dimension, lisp, maxillary central incisor, toothache, physician, curve, muscle, premolar, obstructive sleep apnea, sleep apnea, sleep, gene, apnea, dental restoration, accessibility, informed consent, consent, health care, personalized medicine, stress, type 2 diabetes, evaluation

Frequently Asked Questions
Can a deep bite cause clenching and grinding?
Yes, a deep bite can lead to clenching and grinding. The misalignment of teeth may cause discomfort, prompting individuals to unconsciously grind their teeth, which can result in further dental issues and jaw pain.
Does correcting deep bite elongate face?
Correcting a deep bite can lead to a more balanced facial appearance, which may create the illusion of elongation. However, the primary goal is to improve function and aesthetics rather than specifically elongating the face.
Can I use Invisalign for severe deep bite?
Invisalign can be effective for treating severe deep bites, but it often requires a comprehensive treatment plan that may include additional methods like expanders or surgery. Consult with an orthodontist to determine the best approach for your specific case.
Does correcting a deep bite change your face?
Yes, correcting a deep bite can change the appearance of your face. By aligning the teeth and jaw properly, it can enhance facial symmetry and profile, leading to a more balanced and aesthetically pleasing look.
Should teeth have a deep bite?
No, teeth should not have a deep bite. An ideal bite allows the top teeth to slightly cover the bottom teeth, while a deep bite can lead to dental issues, discomfort, and potential health complications.
How do I know if I have a deep bite?
You may have a deep bite if your top teeth significantly overlap your bottom teeth, causing discomfort or gum contact when biting. A dental professional can provide a thorough evaluation to confirm the diagnosis and discuss potential treatment options.
Can wisdom teeth cause a deep bite?
Wisdom teeth can contribute to a deep bite if they become impacted or misaligned, leading to shifts in the positioning of other teeth. This misalignment may exacerbate existing bite issues or create new ones, affecting overall dental health.
Can Invisalign fix deep bite?
Yes, Invisalign can effectively fix a deep bite by gradually aligning the teeth and correcting the bite relationship. Our orthodontic team will assess your specific needs to determine the best treatment plan for optimal results.
Does a deep bite need to be corrected?
Yes, a deep bite should be corrected to prevent potential dental issues, such as tooth and tissue trauma, discomfort, and complications like TMJ. Proper treatment improves oral function and contributes to overall health and well-being.
What are the side effects of a deep bite?
A deep bite can lead to several side effects, including tooth and gum trauma, increased wear on teeth, jaw pain, and potential TMJ disorders. It may also affect speech, chewing, and overall oral health if left untreated.
How can a deep bite affect your health?
A deep bite can lead to various health issues, including chronic pain, tooth and gum trauma, and complications with jaw function. It may also contribute to breathing difficulties and TMJ disorders, impacting overall well-being.
Do I need to get teeth pulled to fix my deep bite with Invisalign?
In many cases, teeth do not need to be pulled to fix a deep bite with Invisalign. Treatment is often effective through careful adjustments and aligner usage, but your orthodontist will determine the best approach based on your individual needs.
How deep should your bite with braces on teeth be?
Your bite with braces should ideally have the top teeth slightly overlapping the bottom teeth, allowing for a comfortable fit without excessive pressure. This alignment helps ensure proper function and reduces the risk of dental issues during treatment.
Can braces fix deep bite?
Yes, braces can effectively fix a deep bite by gradually realigning the teeth and jaw. This treatment helps improve the bite's function and aesthetics, leading to a healthier smile and better oral health.
What is a deep bite in teeth?
A deep bite, also known as an overbite, occurs when the upper teeth significantly overlap the lower teeth, often causing the front teeth to bite into the gums of the opposite arch.
Can you correct a deep bite with Invisalign?
Yes, a deep bite can be effectively corrected with Invisalign. This treatment utilizes clear aligners to gradually reposition teeth, improving bite alignment and enhancing overall smile aesthetics. Consult with our orthodontic team to determine the best approach for your specific needs.
How teeth move during deep bite correction?
During deep bite correction, teeth are gradually shifted into their proper positions using orthodontic appliances like braces or Invisalign. These devices apply controlled forces, allowing teeth to move horizontally and vertically, ultimately achieving a balanced bite and improved alignment.
Can you fix a deep bite with mewing?
Mewing may help improve jaw alignment and facial structure over time, but it is unlikely to fully correct a deep bite. For significant issues, consulting an orthodontist for professional treatment is recommended.
Does a deep bite go away on its own?
A deep bite typically does not resolve on its own. Without intervention, it can lead to further dental issues and discomfort. Consulting an orthodontist is essential for effective treatment and to prevent complications.
How teeth move during deep bite correction animation?
During deep bite correction, teeth gradually shift into proper alignment through controlled movements. Animation illustrates how braces or aligners apply gentle pressure, allowing teeth to reposition, improve bite function, and enhance overall smile aesthetics.
What causes a deep bite condition?
A deep bite condition is primarily caused by an imbalance in jaw development, where the upper jaw grows more than the lower jaw. Additionally, prolonged thumb sucking or pacifier use during childhood can alter the shape of the mouth and teeth alignment.
How does a deep bite impact chewing?
A deep bite can hinder effective chewing by causing the upper teeth to overlap the lower teeth excessively, leading to improper alignment. This misalignment may result in difficulty breaking down food, discomfort, and potential wear on the teeth.
Are deep bites linked to TMJ disorders?
Yes, deep bites can be linked to TMJ disorders. When the upper teeth significantly overlap the lower teeth, it may lead to misalignment and stress on the jaw joints, potentially causing pain and dysfunction associated with TMJ disorders.
Can deep bites lead to speech issues?
Yes, deep bites can lead to speech issues. The misalignment of teeth affects tongue placement and airflow, potentially causing difficulties in pronouncing certain sounds clearly. Early orthodontic intervention can help correct these issues and improve speech clarity.
What non-surgical treatments correct deep bites?
Non-surgical treatments for correcting deep bites include Invisalign aligners, braces, and palatal expanders. These options effectively realign teeth and improve bite function without the need for surgical intervention.
How do deep bites affect facial symmetry?
Deep bites can lead to facial asymmetry by causing uneven pressure on the jaw and teeth, which may alter the alignment of facial features over time. This misalignment can affect the overall balance and harmony of the face.
At what age should deep bites be treated?
Deep bites can be treated as early as age 7, when most children have a mix of primary and permanent teeth. Early intervention can help guide proper jaw growth and alignment, preventing more severe issues later.
Do retainers help stabilize deep bite corrections?
Yes, retainers are essential for stabilizing deep bite corrections. They help maintain the new position of your teeth and prevent relapse, ensuring long-term success of your orthodontic treatment. Regular use is crucial for optimal results.
Are there exercises to improve deep bites?
While there are no specific exercises to correct deep bites, orthodontic treatments like braces or Invisalign are essential for realigning teeth and improving bite function. Consulting an orthodontist is the best way to address deep bite concerns effectively.
How long does deep bite correction take?
The duration of deep bite correction varies based on individual cases but typically takes between 12 to 24 months. Factors such as treatment method and severity of the bite will influence the timeline.
Related Pages:
  • before and after braces
  • invisalign: before and after
  • open bite: before and after

does a deep bite need braces, deep bite before and after invisalign, deep bite side view, عضة عميقة, before and after braces change lips, deep bite teeth causes, bite teeth, correct bite teeth, extreme braces before and after, jaw overbite before and after-, overbite correction overbite before and after braces side view, what does a good bite look like, how to fix a deep bite, is a deep bite normal, deep bite teeth before and after, tiefbiss vorher nachher, teeth bite, insect bite on face, deep bite teeth treatment, tiefbiss korrigieren, invisalign before and after face shape, traumatic bite, can invisalign fix a deep bite, deep bitr, underdeveloped teeth, deep bite adalah, tiefbiss zahnspange, overbite sideprofile, what is a normal bite look like, is having a deep bite bad, bite before and after braces, deep bite teeth braces, overbite before and after braces face shape, bite correction braces, adult braces before and after, how do you fix a deep bite, correct bite, overbite teeth before and after, invisalign before and after deep bite, braces before and after face, deep bite correction, deep bite jaw, deep bite teeth correction, traumatischer tiefbiss, deep bite looksmax, canted teeth before and after, perfect teeth bite side view, mini implants for gummy smile, deep bite teeth vs overbite, does deep bite need braces, zähne passen plötzlich nicht mehr aufeinander, overbite deep bite, treatment for deep bite, do braces fix deep bite, overbite smile vs normal smile, deep bite problems, closed bite, wider smile before after, gummy smile jaw surgery beverly hills, side bite, deep bite fix, jaw overbite before and after, can invisalign affect your sinuses, deep bite side effects, deep bite consequences, extreme overbite before and after, invisalign deep bite before and after, deep bite retainer, smile bites, d bite teeth, braces before and after deep bite, smiling with bottom teeth, treatment of deep bite, open bite braces before and after, causes of deep bite, deep bite how to fix, deep bite treatment, fixed overbite before after, bite correction with braces, deep bite face shape, collapsed bite before and after, perfect bite teeth alignment side view, closed bite in orthodontics, deep overbite correction, deep bite definition, can you fix your bite without braces, how to make your teeth straight overnight, deep bite braces treatment, is deep bite bad, normal teeth side view, how to treat a deep bite, overbite vs deepbite, only bottom teeth show when smiling, bite plate before and after, deepbite vs overbite, how to correct a deep bite, deep bite braces before and after, overbite before and after profile, bite shape, bite plate for deep bite, deep bite jawline, normal bite teeth, overbite before and after, deep bite cause, what should a normal bite look like, deep bute, how is deep bite fixed, bucked teeth before and after, deep bite solution, what does a normal bite look like from the side, deeply bitten, what is a deep bite in dentistry, deep over bite, overbite correction before and after, overbite or deep bite, deep bite teeth, open bite before and after, how do braces fix deep bite, invisalign lips before and after, deckbiss erwachsene, overbite profile before and after, how long does it take to fix deep bite, mordida profunda antes y después, heavy bite, bite front, deep overbite braces, before and after overbite, normal bite side view, deeb bite, perfect bite side view, smile deep, braces face before and after, braces before and after side profile, deep impinging bite, how long does it take for an open bite to close with braces, deep bite invisalign before and after, deep bite invisalign, invisalign bite ramps before and after, how much is bite, what does a deep bite look like, deep bite dental, deep bite or overbite, deepbite before and after, overlap teeth before and after, bite fix, braces for deep bite, does deep bite affect jawline, lip bite side view, is deep bite common, true deep bite, deep bite correction in adults, can a deep bite be fixed with braces, العضة العميقة قبل وبعد, does a deep bite need to be corrected, thoot deep, perfect bite teeth side view, deep bite and overbite, smile bite, before and after palate expander facial changes, deep bite face, overbite aligners before and after, deepbite teeth, how does invisalign fix deep bite, types of deep bite, deep bite chin, what does a normal bite look like, bite after braces, what does a healthy bite look like, traumatic deep bite, overbite braces change face shape before and after, deep bite smile, can invisalign fix deep bite, normal bite, surgery for deep bite, normal smile vs overbite, can you fix a deep bite with invisalign, front bite, what does a perfect bite look like, overbite and deep bite, correct bite position, ideal bite teeth, invisalign side profile before and after, why does my top teeth hurt when i bite, posterior deep bite, does deep bite affect speech, how deep does a bite have to be to get rabies, deep bite correction invisalign, teeth deep bite, tiefbiss krankenkasse, invisalign before and after side profile, what causes a deep bite, how to correct deep bite with braces, overbite smile side profile, normal teeth bite, is a deep bite the same as an overbite, dental bite classifications, deep bite issues, gigi deep bite, what is deep bite teeth, face before and after overbite, braces transformation side profile, how to fix deep bite naturally, is deep bite a problem, side profile teeth, normal teeth bite side view, heavy bite meaning, deep overbite before and after, deep impinging overbite, overbite before and after side view, deep bite before and after profile, overbite before and after side profile, deep bote, dental deep bite, deep bite treatment cost, i have a deep bite, overbite vs deep bite, how are deep bites fixed, periodontal ligament, do you need braces for a deep bite, braces buck teeth before and after, the deep smiling, close bite, deep bite occlusion, change in bite, teeth side profile, bite ortho, side profile before and after braces, how long does it take to fix a deep bite, braces before and after overbite, smile direct overbite, how long to fix deep bite with braces, overbite teeth, opposite word of smiled, bite smile, what causes deep bite, deep bitw, deep bite complications, dental bite, end to end bite, overbite smile before and after, deep bite orthodontic treatment, deep.bite, correction of deep bite, deep bite open bite, глубокий прикус до и после брекетов, mordida profunda, before and after of braces, can a deep bite cause tmj, deep bite surgery, deep bite tmj, is a deep bite bad, how deep bite is corrected, what is a deep.bite, deepbite, how to treat deep bite, before and after overbite correction, anterior open bite, deep bite fix before and after, improve my bite, overbite side profile before and after, tiefer überbiss, bite and smile, deep bite teeth problem, overbite vs normal smile, open bite speech problems, fixing to bite, bite on my face, what is deep bite in dentistry, deep bite meaning, face before and after braces, deep bite symptoms, deep bite and tmj, invisalign gummy smile before and after, the first bite is the deepest, is deep bite and overbite the same, can you fix a deep bite, how long does a deep bite take to fix, deep bite treatment options, normal bite vs deep bite, is deep bite normal, deckbiss behandlung erwachsene, heres your bite, виниры на глубокий прикус, can braces fix deep bite, can braces fix an overbite in adults, how to cure deep bite, normal ideal teeth bite, deep bite normal, normal bite for teeth, difference between overbite and deep bite, deep bite before and after, slight deep bite, side bite teeth, is deep bite same as overbite, smiling opposite, side profile severe overbite, deep bite braces cost, bite on face, deep bite correction before and after, do retainers change face shape, bite impingement, before and after deep bite face, deep bite side profile, ideal bottom teeth, how is a deep bite fixed, braces progress pictures, before and after overbite side profile, overjet correction before and after, how to correct deep bite, diepe beet, deep bite correction orthodontics, impinging bite, overbite braces before and after, can braces fix a deep bite, how does deep bite affect face, deep bite braces, which creature has the strongest bite force, deep bit, deepbites, deep overbite, deep biting, diepe beet tanden, what is a deep bite, how deep bite for rabies, normal bite vs overbite side profile, overbite deep bite treatment, deep and bite, can an overbite cause breathing problems, how to fix deep bite with braces, deep-biting, beverly bites, deep bite before after, braces change face shape before and after, deepsmile, are deep bites bad, deep bite with braces, kinds of bites teeth, underbite and speech problems, bite blocks before and after, underbite braces before and after side profile, can deep bite be fixed, what does an ideal bite look like, edge to edge bite side profile, after the bite after the bite, overbite braces before and after side profile, what is a deep bite in orthodontics, deep bite profile, deep overbite fix, deep bite before and after braces, before bite, overbite vs normal side profile, before and after deep bite, bite orthodontics, глубокий прикус брекеты, deep bite vs normal, overbite side profile, zgryz głęboki, clear aligners for deep bite, invisalign change face shape before and after, correcting deep bite, perfect bite teeth, why do i have a deep bite, sunday bite in orthodontics, bite turbos before and after, fix deep bite, byte before and after overbite, moderate deep bite, face shape before and after braces, does invisalign fix deep bite, skeletal deep bite, normal bite vs overbite, closed bite teeth, deeper bite, why do dentists tap your teeth, deep bite jaw surgery, gummy smile before and after braces, deep bite after braces, deep bite before and after side profile, wider the smile deeper the pain, deep bite face change, tiefer biss, what is a deepbite, what should your bite look like, deep jaw, deep bite gummy smile, overbite jaw before and after, normal vs deep bite, severe deep bite, overbite before after, side profile before and after overbite, tiefbiss korrektur, mild overbite side profile, invisalign for deep bite, teeth bites, i want a wider smile, side profile overbite, whats a deep bite, deep bite ortho, correcting bite with braces, close bite teeth, diepe beet zonder operatie, open bite before and after side profile, jaw surgery deep bite, deep bite in orthodontics, we bite space, before after overbite, bite correction without braces, person covered in teeth, overbite before and after braces side view, علاج العضة العميقة بدون تقويم, what happens if deep bite is not treated, deep bige, braces deep bite, invisalign tiefbiss vorher nachher, does an overbite cause a gummy smile, głęboki zgryz, deep bite overbite, deep bite vs overbite, invisalign deep bite, how to smile with overbite, deep bite vs normal bite, before after braces face shape, fixing deep bite, impinging overbite, bad bite causing tooth pain, cover bite orthodontics, overbite lips before and after braces, over bite before and after, correct bite of teeth, overbite correction before after, invisalign overbite before and after side profile, overjet side profile, overbite before and after face shape, deep overbite treatment, deep overbite before and after braces, do i have a deep bite, overbite before and after braces profile, how to know if you have a deep bite, how to fix deep bite, overbite pictures before and after, deep bite invisalign reddit, mild deep bite, deep bite orthodontics, what is deep bite, can deep bite be fixed with invisalign, deep bire, retainer for deep bite, zahnspange tiefbiss, orthodontic treatment for deep bite, before and after invisalign face change, closed bite vs deep bite, deep bite teeth meaning, deep bite face change reddit, do braces make your lips bigger, braces gummy smile before and after, correct deep bite, sobremordida profunda, invisalign jaw before and after, deep bite causes, tiefbiss, i want your bite, difference between deep bite and overbite, deep bite before and after adult, side profile of teeth, mordida profunda antes y despues, gummy smile surgery recovery beverly hills, deepbite correction, bug bite on face treatment, overbite smile vs regular smile, braces deep bite before after, overbite fixed before and after, wat is een diepe beet, bite correction before and after, is it bad to have a deep bite, deep bite treatment cost in india, overbite face before and after, invisalign face shape before and after, upper bite teeth, deep bite images, how do braces fix a deep bite, tiefer biss korrektur, is overbite and deep bite the same, deep bite cases, bite on the face, overbite side profile before and after braces, i bit into something hard tooth hurts, does deep bite cause tmj, deep bite in teeth, overbite gummy smile, deepbite braces, bitten inside of mouth, deep bite reddit, can braces fix side profile, side profile of overbite, invisalign wider smile before after, what does an overbite look like, complete deep bite, notmal bite, deep bite anterior, teeth normal bite, zgryz gleboki, orthodontics before and after, deep bite xray, what is a good bite teeth, can deep bite be corrected, bit down on tooth now it hurts, overbite men, how to correct deep bite without braces, bisserhöhung kosten, deep ortho, deckbiss vorher nachher, celebrity with overbite, perfect bite, edge to edge bite before and after, open bite before after, side profile before and after, deep occlusion, teeth after braces side view, deep bite short face, how to apply government braces, invisalign deep bite correction, أضرار العضة العميقة, how to treat a bug bite on face, after bite, why is my bite changing, different bites teeth, does an expander change your face, invisalign changed my face, can invisalign fix tongue thrust, sunday bite orthodontics, d bite, bottom teeth behind top teeth, overbite lips before and after, type of bites teeth, how to fix your bite without braces, my back tooth hurts when i chew, invisalign face before and after, jaw deep bite before and after, overbite teeth side profile, diepe beet gevolgen, deep smile, deep bite surgery before and after, gummy smile side profile, normal bite from the side, does invisalign change jaw shape, gummy smile after invisalign, forward bite teeth, correct bite side view, bite deep, welke beugel bij diepe beet, djupt bett, treatment of deep bite in orthodontics, what does a correct bite look like, profile before and after braces, smile overbite vs normal, correct bite for teeth, correcting bite, what does a deep bite mean, ideal bite side view, diepe beet voor en na, can invisalign correct deep bite, open bite deep bite, does fixing an overbite change your face, глубокий прикус, deep bite lips, side profile before and after braces face shape, fixing overbite before and after, bite buttons braces, aligners for deep bite, invisalign overbite side profile, брекеты при неправильном прикусе, braces open bite before and after, deep bite treatment duration, what does a regular bite look like, perfect bite side profile, deep bite before and after reddit, what does it mean to have a deep bite, tiefer biss zähne, what to put on a bite on your face, sever overbite, sideways bite, bisserhöhung, before and after braces face shape, how does overbite affect face, how to fix a deep bite without braces, perfect bite from side, before and after collapsed bite, how should a bite look, tiefbiss behandlung, overbite fix before and after, normal bite side profile, teeth braces before and after side view, how does a normal bite look like, will invisalign change my face, deep bite correction time, correct teeth bite, what is deepbite, deep bite classification, befor bite, invisalign face shape change, deep bite correction appliance, deep bite in children, how long does it take to fix a deep bite with braces, before and after open bite, bite in dentistry, braces bite correction, اضرار العضة العميقة, tief und deckbiss, can braces fix gummy smile, глубокий прикус симптомы, invisalign before and after overjet, bite braces, what is a deep overbite, deep bite vs over bite, sobremordida, braces for bite correction, how deep should the bite be to get rabies, what is a perfect bite, what does an underdeveloped jaw look like, maloclusión dental, overbite vs underbite side profile, how your bite should look, underbite effects, was ist ein tiefbiss, bite mark on face, invisalign side profile, how to correct bite, does fixing overbite change face shape, as deep as a bite meaning, bisshebung kieferorthopädie, my teeth barely show when i smile, what a perfect bite looks like, shape bites, side profile overbite teeth, глубокий прикус фото, mordida profunda consecuencias, zgryz gleboki skutki, deep anterior bite, trauma bite, malocclusion deep bite, que es mordida profunda, crossbite and deep bite, topes para mordida profunda, metal cardbot deep bite, bite corrector, deckbiss bite, overbite before and after adults, jaw bite correction, lips before and after braces, العضة العميقة, nice bite orthodontics reviews, deep bight, can you bite down on invisalign, bite specialist dentist, overbite orthodontics before and after, side profile with overbite, bisshebung risiken, does invisalign change the shape of your face, class iii bite, before and after overbite teeth, bisshebung vorher-nachher, how does a perfect bite look like, deep hite, before and after braces face, normal.bite, braces lips before and after, tongue bite smile, how to fix teeth bite, insect bite on face treatment, open bite before and after braces, cheek biting images, tiefbiss folgen, braces cases before and after, before and after braces overbite, perfect bite after braces, open bite side profile, fixing bite with braces, invisalign changing face shape, djupt bett före efter, smiled ka opposite word, braces bite, how much does a filling cost, normal bite of teeth, normal bite from side, deep bite aligners, tooth filling uneven bite, ideal teeth bite, how does invisalign change your face, braces side profile before after, big bite teeth, fixing bite, bite reconstruction los angeles, deep bite effects, how to fix bite, how long do you need braces for a deep bite, 3 bite, tiefbiss symptome, как прикус влияет на речь, teeth bite treatment, tooth ache after biting hard, skeletal overbite, does overbite cause gummy smile, deep bite., kig 3, deep bite and overjet, tongue too big for mouth after braces, deeo bite, how to fix bite without braces, cheek biting pictures, how deep is the bite for rabies, skeletal overbite correction, what should a proper bite look like, can biting something hard cause tooth pain, what does a normal bite look like teeth, braces before and after face shape, bottom bite, cause of deep bite, does invisalign change jaw, deep overbite invisalign, mordida profunda tratamiento, does invisalign change your jaw, gummy smile in san rafael ca, diepe beet behandeling volwassenen, diepe beet behandeling, лицо после исправления глубокого прикуса, vip.invisalign doctor site, opposite of smiled, what is put on your teeth to correct a bad bite, глубокий прикус как меняется лицо, should front teeth touch when biting, before and after braces side profile, deep bite malocclusion, what is a normal bite, top teeth cover bottom teeth, fix my bite, over bite side profile, what is a perfect bite supposed to look like, biss wiederherstellen, normal bite smile, pictures of overbite teeth, will my bite go back to normal after braces, braqui severo que significa, a perfect bite teeth, deep bite correction braces, perfect bite from the side, normal teeth side profile, orthodontic cases before and after, orthodontic deep bite, men with overbite, what is perfect bite, djupt bett tandställning, wenn der biss nicht stimmt symptome, anterior deep bite correction, how to know if your bite is off, bit cheek, overbite before and after surgery, anterior bite plane for deep bite, after deep, tiefbiss kinder behandlung, best bites dental, does fixing an overbite change face shape, braces for severe overbite, deep bite surgery cost, dentist bite, who has the strongest bite force in the world, deep bite correction with crowns, overly crowded bite, исправление глубокого прикуса, deep bite teeth symptoms, class 2 bite before and after, how to get rid of bites on face, what is the difference between an overbite and a deep bite, deep bite and crossbite, why is a deep bite bad, severe deep bite correction, does straightening your teeth change your face, what is a surface filling, deep bite overjet, overbite before vs after, overbite face, sobremordida severa, lip bite smile, исправление глубокого прикуса брекетами, how deep of a bite to get rabies, overbite face before and after braces, my bite, what does deep bite mean, normal bite with braces, insect bite in face, bite ramp before and after, deep bite on tongue, bite is off, the ideal bite, mordida profunda que es, what a normal bite looks like, invisalign change jaw shape, lips before and after overbite, deep bite example, guy with overbite, prosthodontic management of deep bite, bite pain after filling, can invisalign change face shape, braces for open bite before and after, mordida profunda invisalign, overbite transformation, braquifacial severo tratamiento, how should your bite look, reverse curve wire upper, normal teeth from the side, a normal bite, aufbiss kieferorthopädie, man with overbite, bisshebung ablauf, severe overbite before and after braces, what does a overbite look like, deep biye, neuromuscular dentist, zgryz głęboki przed i po twarz, what is normal bite, bite with teeth, как лечится глубокий прикус, will braces ruin my face, العضة العميقة للاسنان, under bite side profile, bite correction, my bite is off after braces, أسباب العضة العميقة, biss anheben, correct position of teeth, pictures of expanders for teeth, my bottom teeth show when i talk, bite change, bite something hard and tooth hurts, do braces make your cheeks bigger, normal tooth bite, anterior deep bite, уз детская стоматологическая поликлиника ортодонтическое отделение отзывы, overbite teeth photos, myobrace lawsuit, bite feels off after filling, deep tongue bite, tiefbiss behandlung erwachsene, jawhacks before and after, bite teeth whitening reviews, braces before and after adults, deep bite คือ, исправление глубокого прикуса у взрослых, deep bite correction cost, what is a normal teeth bite, bite turbos, before and after brace, how to get wider smile, normal bite side, deep bite management, what is considered a normal bite, what should a bite look like, braces ruin face, брекеты глубокий прикус, deep bite correction with invisalign, a perfect bite, what is a severe overbite, top teeth go over bottom, zähne passen nicht mehr aufeinander, how to fix overbite, braces before and after face change, überbiss korrigieren, my bite feels off, bites and braces, what does having a deep bite mean, tiefer biss behandlung erwachsene, глубокий прикус у ребенка, celebrity overbite, deep bite correction without braces, palate expander before and after side profile, bite an orthodontist, как глубокий прикус влияет на внешность, overbite nederlands, deep bite correction face change, aparat ortodontyczny zgryz gleboki, teeth from side, abrasionsgebiss vorher nachher, überbiss, side profile after invisalign, bisshebung kosten, bisshebung erfahrungen, глубокий прикус фото лица, man bite man treatment, class 2 div 2 occlusion, bite reconstruction beverly hills